자세히보기

TOP
BARUN HOON ORTHODONTICS

부분교정

내가 원하는 부분만 빠르게 MTA 부분교정

바른훈치과의 의료진의 기술로 빠르고 정확한 진단을 받아보세요.

작고 앏은 mini tube 형태로 심미성이 매우 우수합니다. 간단한 앞니 부분 교정으로 어금니의 이동없이 빠른 교정치료가 가능하며 구강위생 관리에 탁월합니다.
01

빠르게·티 나지 않게·정확하게 한눈에 보는 MTA 부분교정

  • 3개월 남짓의 짧은 치료기간
  • 안 보이는 설측앞니교정
  • 튜브를 이용한
    빠르고 편안한 교정치료
  • 간접부착술식으로
    정확한 장치부착
  • 자체기공작업으로
    설측도 당일 시작이 가능
  • 약간의 돌출 앞니,
    중앙선 비대칭도 개선가능
  • 잇몸이 안좋은
    중장년 교정에도 적합
  • 빠르게·티않나고·정확한

    MTA 부분교정

02

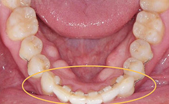
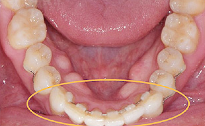
부분교정 전후 사례

  • 튜브를 이용한 빠른 치아교정

    MTA 부분교정은 짧은 시간 내에 치아배열을 달성하는 것과 중간중간 치아가 펴질 공간을 마련해 주는 것이 관건입니다. 서울바른훈치과에서는 작은 힘을 가하는 얇은 와이어에서도 효과적인 치아배열을 달성하기 위해 작은교정장치, 즉 튜브(MTA)를 사용해 앞니교정을 진행합니다. 약한 힘으로 교정을 진행하다 보니 잇몸이 좋지 않은 중장년층에서도 무리 없이 치아교정이 가능합니다.
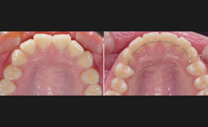
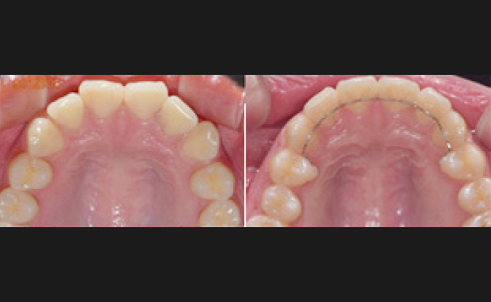
  • 안 보이고, 편안한 설측앞니교정

    단기간에 끝나더라도 교정이 진행되는 동안 교정장치가 보이지 않는다면 금상첨화일 것입니다. 서울바른훈치과의 튜브를 이용한 앞니부분교정은 치아의 안쪽, 설측으로도 가능하며 작은튜브형태의 장치이다 보니 일반적인 설측교정에 비해 발음에 전혀 문제가 없고 이물감도 없이 편안한 교정이 가능합니다.
03

MTA 부분교정은 기간이 짧지만 단순한 치료는 아닙니다.

MTA 부분교정은 장점이 많은 치료이지만, 부작용 없이 원하는 치료결과를 달성하기 위해서는 전체교정과는 또 다른 세밀한 치료계획이 동반되어야 합니다.

때문에 성공적인 결과를 위해 신중한 선택을 필요로 하며, 아래의 사항을 필수적으로 체크 해보시기 권해드립니다.
  • 치아교정에 대해서 전문적인 진단과 치료가 가능한 치과
  • 교정에 대한 전문 의학 지식과 경험과 갖춘 치과
  • 교정원장이 바뀌지 않고 사후 보증 제도가 확실한 치과
04

서울바른훈치과의 얼굴과학

단순히 치아의 배열을 보기 좋게 맞추는 것에 그치지 않고, 얼굴 전체의 균형과 조화를 고려하는 얼굴과학에 근거하여 치료가 진행됩니다.

이상적인 정면의 얼굴비율

정면에서 볼 때 헤어라인 - 미간 - 코끝은 1:1:1의 비율이 가장 이상적이며, 입술을 코끝과 턱끝의 1/3에서 맞물리는 것이 가장 이상적이 비율입니다.
05

이상적인 측면의 얼굴비율

돌출입을 판단하는 가장 기본이 되는 진단방법으로 측면에서 볼 때 코끝과 턱끝을 잇는 선을 기준으로 돌출정도를 판단합니다. 옆모습을 찍은 사진에서 선을 그어보거나, 자를 코와 턱에 대었을 때, 코끝과 턱끝을 잇는 선보다 입술이 나오면 돌출입이라고 할 수 있습니다.
06

얼굴뼈의 성장과 변화를 고려

코끝에서 입, 턱으로 이어지는 얼굴의 옆모습은 어릴 때는 둥그스름한 돌출형에서, 성인이 될수록 직선형이 되고, 나이가 들면서 입이 들어간 형태가 됩니다. 아래턱 성장이 성인이 될 때 최대가 되고, 이후에는 치조골(잇몸뼈)이 흡수되어 입이 오히려 들어가 보이게 되는 것입니다. (반대로, 나이가 들면서 오히려 입이 돌출되는 경우도 있습니다.) 서울바른훈치과에서는 수많은 치아교정 사례를 토대로, 치아교정을 시작할 떄 부터 나이에 따른 턱뼈의 변화를 고려할 뿐 아니라,

교정 진행 중 정기검사를 통해 얼굴뼈의 성장과 변화까지 체크하여 보다 효과적인 교정이 이루어질 수 있도록 노력합니다.

07

I.O 촬영 Intra oral Photo

치아 사이즈와 형태, 잇몸상태 등 시각적으로 정확한 분석을 위해 구내촬영을 합니다. 촬영 후 즉시 환자의 전자 차트로 전송해 진료시간을 단축합니다.
08

개인별 맞춤 교정장치

정밀한 진단을 토대로 환자에게 가장 적합한 교정장치를 사용합니다. 무조건 고가의 교정장치를 권하거나, 환자분의상태에 적용하기 힘든 교정장치, 교정방법을 권하지 않습니다.
09

서울대 출신 대한치아교정학회 인정의

서울바른훈치과의 교정과를 책임지고 있는 류수영 교정원장님은 대한치아교정학회 인정의입니다.
(통합치의학과 전문의 더블보드 의사)

문의 및 상담전화

02.352.2828

  • 진료안내

    평일 AM 10:00 - PM 06:30
    화·목 AM 10:00 - PM 09:00 (야간진료)
    토요일 AM 10:00 - PM 02:30
    점심시간 PM 01:00 - PM 02:00
    • 토요일은 점심시간 없이 진료합니다.
    • 일요일 및 공휴일은 휴진입니다.

제휴 및 협력

서울대학교
서울대학교치과병원
은평구
서울특별시
연신내 상점가 상인회
한화손해보험
연서시장 상인회
아이에스티웹
외국인 환자 유치 의료기관
서울관광재단
국민일보 쿠키뉴스
포스코건설
근로복지공단
고용노동부
일산병원
강북삼성병원
이화여자대학교 의료원
가톨릭대학교 은평성모병원
동국대학교 일산병원