자세히보기

TOP
BARUN HOON ORTHODONTICS

투명교정

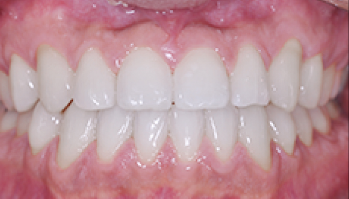
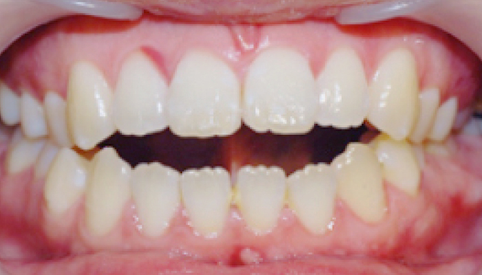
아무도 모르게 예뻐지는 투명교정

치아에 부담없고 심미적인 투명장치 교정!

투명 장치 착용으로 뛰어난 심미성을 가지며 일반 투명교정보다 장치개수를 늘려 교정력을 나눠줘 장착시 치아에 안정감이 있고 치아 통증이 적습니다.
01

자세히 보아야 보인다 너도 그렇다!

증상에 맞는 교정기 선택으로 만족스러운 교정 효과를 느껴보실 수 있습니다.
틀어진 부분을 빠르게 교정

맞춤제작 투명교정

02

투명교정

서울바른훈치과의 투명교정은 전담기공소에서 맞춤 제작한 투명 합성 플라스틱 재질의 앏은 교정장치를 이용하여 흐트러진 치열을 바로잡는 교정치료법입니다.

투명교정으로 자신감 UP!

깨끗하게·안나게·자신있게

우수한 간편성

간편히 탈부착이 가능해 구강관리가 보다 용이하다.

적은 이물감

일반교정보다 이물감이 적다

뛰어난 심미성

투명한 장치로 심미성이 높아 티가나지 않는다.
03

서울바른훈치과의 투명교정

  • 무작정 치아를 이동시키지 않습니다.

    치아를 이동시키는 이동기
    이동한 치아를 고정시키는 고정기
    치조골재생에 도움을 주는 휴식기

    치아의 이동뿐 아니라 이동된 위치에 정확히 안착하여 고정될 수 있도록 시기에 맞춘 치료를 진행합니다.

  • 미세한 오차까지 잡아줍니다.

    3D구강스캐너로 현재치아 그대로 모델링
    3D프린터기를 이용한 오차없는 장치제작

    첨단 3D 구강스캐너와 3D 프린트를 이용하여 미세한 오차까지 잡아주어 더 정교한 교정이 가능합니다.

  • 유지장치까지 꼼꼼하게 챙깁니다.

    교정후 치아가 원래도로 돌아오는 것을 막아주는 유지장치
    한번 더 잡아주어 효과유지

    교정 후 유지장치를 통해 한번 더 잡아주어 되돌아가지 못하게 차단시켜 줍니다.

04

맞춤 투명교정 장치 제작과정

  • STEP 01

    본을 뜬 치아를 3D스캐너로
    스캔하여 컴퓨터로 전송
  • STEP 02

    컴퓨터 셋업 프로그램으로
    디지털 가상 치아 이동
  • STEP 03

    3D프린터로
    치아모델 제작
  • STEP 04

    보다 세밀하고 정교한
    투명교정장치 제작
05

투명교정의 장점

경미한 교정은 투명교정으로 간단하게 해결하세요!
  • 01 뛰어난 심미성

    투명한 장치를 사용하여 심미적이며 사회생활에 지장을 주지 않습니다.
  • 02 환자 스스로 탈착이 가능

    탈착이 가능하여 식사 시 불편감이 없고 구강위생 관리에 편리합니다.
  • 03 빠른 적응시간

    치아를 적절하게 분산된힘으로 천천히 움직여교정 후 부작용을최소화 합니다.
06

투명교정장치를 찾으시는 분들

  • 교정장치가
    부담스러우신 분
  • 티나지 않게 교정
    치료를 하고 싶으신 분
  • 심미적인 치아
    교정을 원하시는 분
  • 간편히 탈부착 가능한
    교정장치를 원하는 분

※ 투명교정은 의료진 진단 후 가능여부가 판단됩니다. 개인의 상태에 따라 투명교정이 불가능할 수 있습니다.

특정한 결과를 보장할 수 없으며 결과는 다양할 수 있습니다. 치아교정중 치아표면의 탈회, 잇몸의 염증 / 퇴축, 치근흡수 등의 문제점이 발생 할 수 있으니 의료진과 충분한 상의를 하시길 바랍니다.
07

서울바른훈치과의 얼굴과학

단순히 치아의 배열을 보기 좋게 맞추는 것에 그치지 않고, 얼굴 전체의 균형과 조화를 고려하는 얼굴과학에 근거하여 치료가 진행됩니다.

이상적인 정면의 얼굴비율

정면에서 볼 때 헤어라인 - 미간 - 코끝은 1:1:1의 비율이 가장 이상적이며, 입술을 코끝과 턱끝의 1/3에서 맞물리는 것이 가장 이상적이 비율입니다.
08

이상적인 측면의 얼굴비율

돌출입을 판단하는 가장 기본이 되는 진단방법으로 측면에서 볼 때 코끝과 턱끝을 잇는 선을 기준으로 돌출정도를 판단합니다. 옆모습을 찍은 사진에서 선을 그어보거나, 자를 코와 턱에 대었을 때, 코끝과 턱끝을 잇는 선보다 입술이 나오면 돌출입이라고 할 수 있습니다.
09

얼굴뼈의 성장과 변화를 고려

코끝에서 입, 턱으로 이어지는 얼굴의 옆모습은 어릴 때는 둥그스름한 돌출형에서, 성인이 될수록 직선형이 되고, 나이가 들면서 입이 들어간 형태가 됩니다. 아래턱 성장이 성인이 될 때 최대가 되고, 이후에는 치조골(잇몸뼈)이 흡수되어 입이 오히려 들어가 보이게 되는 것입니다. (반대로, 나이가 들면서 오히려 입이 돌출되는 경우도 있습니다.) 서울바른훈치과에서는 수많은 치아교정 사례를 토대로, 치아교정을 시작할 떄 부터 나이에 따른 턱뼈의 변화를 고려할 뿐 아니라,

교정 진행 중 정기검사를 통해 얼굴뼈의 성장과 변화까지 체크하여 보다 효과적인 교정이 이루어질 수 있도록 노력합니다.

10

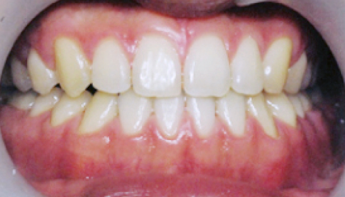
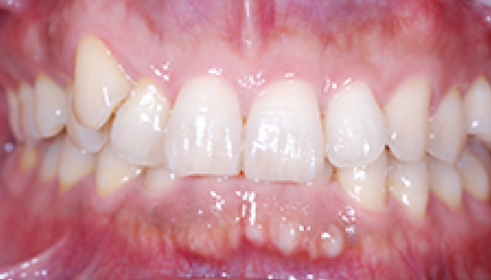
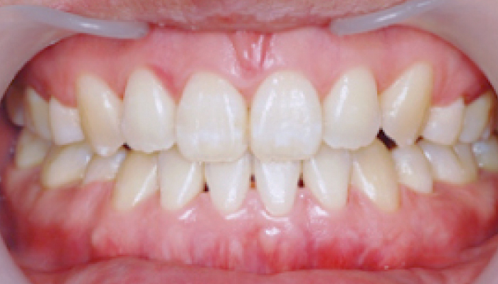
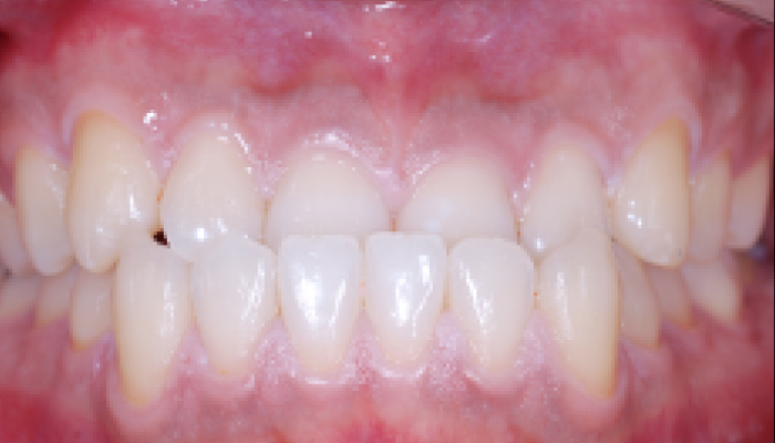
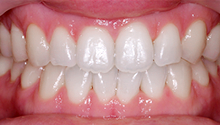
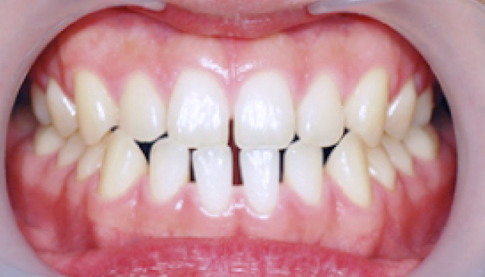
I.O 촬영 Intra oral Photo

치아 사이즈와 형태, 잇몸상태 등 시각적으로 정확한 분석을 위해 구내촬영을 합니다. 촬영 후 즉시 환자의 전자 차트로 전송해 진료시간을 단축합니다.
11

개인별 맞춤 교정장치

정밀한 진단을 토대로 환자에게 가장 적합한 교정장치를 사용합니다. 무조건 고가의 교정장치를 권하거나, 환자분의상태에 적용하기 힘든 교정장치, 교정방법을 권하지 않습니다.
12

서울대 출신 대한치아교정학회 인정의

서울바른훈치과의 교정과를 책임지고 있는 류수영 교정원장님은 대한치아교정학회 인정의입니다.
(통합치의학과 전문의 더블보드 의사)

문의 및 상담전화

02.352.2828

  • 진료안내

    평일 AM 10:00 - PM 06:30
    화·목 AM 10:00 - PM 09:00 (야간진료)
    토요일 AM 10:00 - PM 02:30
    점심시간 PM 01:00 - PM 02:00
    • 토요일은 점심시간 없이 진료합니다.
    • 일요일 및 공휴일은 휴진입니다.

제휴 및 협력

서울대학교
서울대학교치과병원
은평구
서울특별시
연신내 상점가 상인회
한화손해보험
연서시장 상인회
아이에스티웹
외국인 환자 유치 의료기관
서울관광재단
국민일보 쿠키뉴스
포스코건설
근로복지공단
고용노동부
일산병원
강북삼성병원
이화여자대학교 의료원
가톨릭대학교 은평성모병원
동국대학교 일산병원