자세히보기

TOP

바른훈치과 나이별 치아교정

환자 맞춤형 치아교정·케이스별 정밀진단·오차없는 결과

나이에 따른 정확한 진단과 치료 계획을 수립하여 보건복지부 인증 치과교정과 전문의료진이 완성도 높은 치아교정 결과를 보여드립니다.

BARUN HOON ORTHODONTICS

소아교정

01

영구치가 모두 나온 뒤 교정치료 하면 되죠?

가장 많이 잘못 알고 계시는 정보입니다. 무턱 주걱턱 덧니 등 각각의 경우에 따라 최적의 교정치료 시기는 다릅니다. 환자 보호자분들이 모두 체크하기 어려울 수 있으니 만 7세에는 꼭 한번 교정치과에서의 정밀검사를 추천드립니다.

어린이 부정교합 완벽한 타이밍

치아의 벌어짐과 덧니를 막고 빠르고 효과적으로 교정할 수 있는 교정의 골든-타임!
02

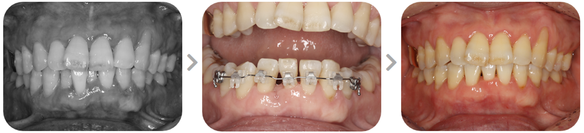
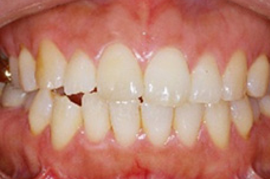
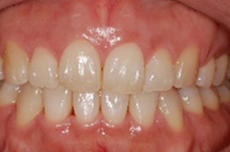
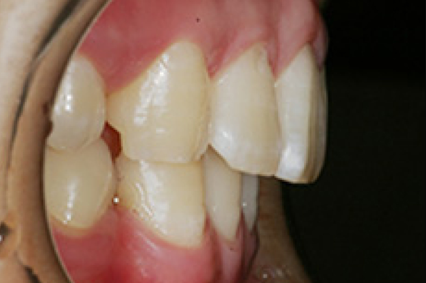
소아 교정 전후 사례

03

얼굴뼈의 성장과 변화를 고려

코끝에서 입, 턱으로 이어지는 얼굴의 옆모습은 어릴 때는 둥그스름한 돌출형에서, 성인이 될수록 직선형이 되고, 나이가 들면서 입이 들어간 형태가 됩니다. 아래턱 성장이 성인이 될 때 최대가 되고, 이후에는 치조골(잇몸뼈)이 흡수되어 입이 오히려 들어가 보이게 되는 것입니다. (반대로, 나이가 들면서 오히려 입이 돌출되는 경우도 있습니다.) 서울바른훈치과에서는 수많은 치아교정 사례를 토대로, 치아교정을 시작할 떄 부터 나이에 따른 턱뼈의 변화를 고려할 뿐 아니라,

교정 진행 중 정기검사를 통해 얼굴뼈의 성장과 변화까지 체크하여 보다 효과적인 교정이 이루어질 수 있도록 노력합니다.

04

서울바른훈치과 소아교정 프로그램

어린이 부합교정은 성인 치아교정에 비해 예민한 치료 과정을 거치기 때문에 '어린이 전문 교정 시스템을 갖추고 있는지' 여부를 확인하는 것과 다양한 임상 경험 및 노하우가 풍부한 의료진에게 진료받는 것이 중요합니다.
  • 상담·치료·후관리까지 1명의 의료진이 전담

    Q 방문할 때마다 바뀌는 의료진 때문에 불안하신가요?
    A 실력이 입증된 서울대 출신 의료진이 상담부터 교정 후 관리까지 책임지고 진료합니다.
  • 교정 중 생길 수 있는 충치 걱정 NO!

    Q 교정 중 생기는 충치가 걱정이신가요?
    A 서울바른훈치과에서는 치료시, 불소 도포를 진행하며, 교정과 함께 아이에게 올바른 양치를 함께 교육합니다. 충치가 생길시, 분과별 의료진 협진하여 충치 치료를 진행합니다.
05

서울바른훈치과 소아교정의 장점

  • 빠르고 안정적인 결과

    잇몸 조직의 적응성이 좋아 치아 간격 유지에 도움이 되며, 유치가 빠진 뒤 영구치가 바르게 자라납니다.

  • 성장판 검사 최상의 교정효과

    골격의 성장을 예측하여 치아 이동을 설계하여 주걱턱, 무턱, 부정교합 개선이 가능합니다.

  • 치아 손상 및 충치 예방

    바른 치열로 음식 등을 씹는 능력이 개선되고, 치아가 약해지는 것을 방지하고 충치를 예방합니다.

  • 정밀검사를 통한 체계적인 치료

    치아교정 전담 의료진과 진료팀의 정밀한 검사와 체계적인 치료로 부정교합을 빠르고 정확하게 치료합니다.

BARUN HOON ORTHODONTICS

청소년교정

06

내 아이의 미래가 바뀌는 바로 지금

유아기에서 성년이 되는 과정으로, 자존감과 인성을 결정 짓는 중요한 시기.

청소년기에 아이들은 자존감,성격,인성 등이 형성되는 중요한 시기이며, 이는 성인이 된 이후에는 쉽게 바뀌지 않습니다. 내 아이가 사람들 앞에서 잘 웃지 않고, 사람들과의 대화를 꺼려 한다면 조금 더 깊게 들여다 보아야 합니다. 이러한 돌출입 등의 외모적인 스트레스는 일상의 무력감, 학업저하 등의 부정적 결과를 가져 올 수 있으며, 더 나아가 대인관계의 문제까지 발생 될 수 있습니다.
“내 아이의 미래가 바뀔 수 있는 지금, 조금 더 관심을 가지고 바라봐 주세요.”
07

교정치료의 골든타임

청소년 시기는 치아교정을 위한 가장 좋은 시기

12세~18세는 교정치료의 효과가 가장 높은 시기 입니다. 어린이와 청소년은 얼굴과 치아가 계속 성장하고 있기 때문에 성인 교정과 증상, 효과가 매우 다릅니다. 정확한 치아교정시기를 알기 위해서는 아이의 성장단계를 알아보는 성장판 검사가 진행하며 수년간 다양한 청소년 교정치료 임상결과를 바탕으로 증상, 시기에 따라 아이들에게 적합한 맞춤 Plan을 제시 해 드립니다.
“지금, 내 아이의 골든타임을 지켜 주세요.”
08

청소년 교정 전후 사례

09

청소년기 교정치료의 장점

  • 빠르고 안정적인 결과

    잇몸 조직의 적응성이 좋아, 재발확률이 적으며, 성인이 되어 치아를 빼거나 수술을 해야 하는 확률을 줄여 줍니다.

  • 성장판 검사 최상의 교정효과

    안면 골격의 성장과 치아이동까지 종합적으로 성장조절 교정치료가 이뤄지므로 골격적인 부조화까지 해결할 수 있습니다.

  • 치아 손상 및 충치 예방

    음식물을 씹어먹는 능력이 개선되며, 치아가 약해지는 것을 방지하고 충치를 예방합니다.

  • 심리적 안정, 원만한 대인관계

    청소년기는 감수성이 예민한 시기이므로 외모에 대한 콤플렉스를 해결해 주어 심리적 안정에 도움을 줍니다.

10

자녀분이 혼자서도 치료 받을 수 있는 서울바른훈치과

보호자와 자녀가 세심한 치료과정에서 느끼는 편안한 경험

풍부한 경험과 전문성, 자녀 혼자 보내도 보호자가 항상 함께 하는 듯, 모든 것을 꼼꼼하게 체크하는 프로그램을 통해 자녀뿐 아니라 보호자도 치료과정에서 편안함을 느낄 수 있도록 세심하게 관리하고 있습니다.
11

프로그램

청소년 교정은 성인 치아교정에 비해 예민한 치료 과정을 거치기 때문에 ‘청소년 전문 교정 시스템을 갖추고 있는지’ 여부를 확인하는 것과 ‘다양한 임상경험 및 노하우가 풍부한 의료진에게 진료 받는 것’이 중요합니다.
  • 상담·치료·후관리까지 1명의 의료진이 전담

    방문할 때마다 바뀌는 의료진 때문에 불안하신가요?
    실력이 입증된 서울대 출신 의료진이 상담부터 교정 후 관리까지 책임지고 진료합니다.
  • 교정 중 생길 수 있는 충치 걱정 NO!

    교정 중 생기는 충치가 걱정이신가요?
    치료 시 불소 도포를 진행하여, 교정치료 중 발생할 수 있는 충치 가능성을 최소로 줄였습니다.
  • 종합 검진센터 운영으로 정확한 진단과 치료!

    성장기의 경우 치아와 뼈가 자라고 있어, 교정 시 치아와 잇몸 등의 정밀 검진이 필요합니다. 성장치와 골격방향을 예측하는 성장판 검사 및 3D-CT, 디지털 파노라마 촬영 검진을 통해 자녀의 상태와 체질 등 개인에 맞는 치료계획을 세웁니다.
  • 자녀 혼자 병원에 보내셔도 걱정 NO!

    우리 아이가 치료는 잘 받았는지 궁금하신가요?
    안심하셔도 됩니다. 전담 치과위생사가 1:1로 함께하여 편안하게 치료받을 수 있으며, 치료내용과 경과를 부모님께 전화와 카톡으로 상세히 설명 드립니다.
12

늘 곁에 있는 것처럼 부모확인 안심서비스

부모님께서 내원하시지 못하더라도 안심하세요~!

서울바른훈치과는 자녀 혼자 병원을 방문하더라도 문자 및 전화를 통해 부모님께 방문여부(시간)치료상태, 귀가여부 등을 즉각적이고 상세하게 설명해드리고 있습니다.
BARUN HOON ORTHODONTICS

성인 / 중장년교정

13

교정치료는 10대와 20대만? NO!

중장년층에게 교정치료는 단순한 심미치료가 아닙니다. 치열을 오랫동안 유지하기 위해서도 꼭 필요한 건강을 위한 진료입니다.
14

복합적인 치료가 필요한 성인 / 중장년 치아교정

성인 / 중장년 치아교정은 부정교합같은 치열의 문제와 함께 치과적인 문제를 동반한 경우가 종종 있습니다. 따라서 보철치료나 수술교정 등을 포함한 다각도의 치료과정이 수반되게 됩니다. 또한 심미적 만족을 위한 교정치료나 중장년층의 치아교정이 늘고 있어 환자별 상태와 목표에 맞는 교정치료가 필요합니다.
15

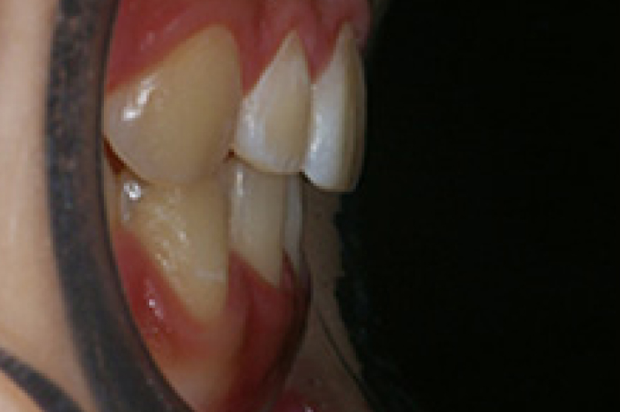
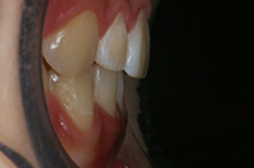
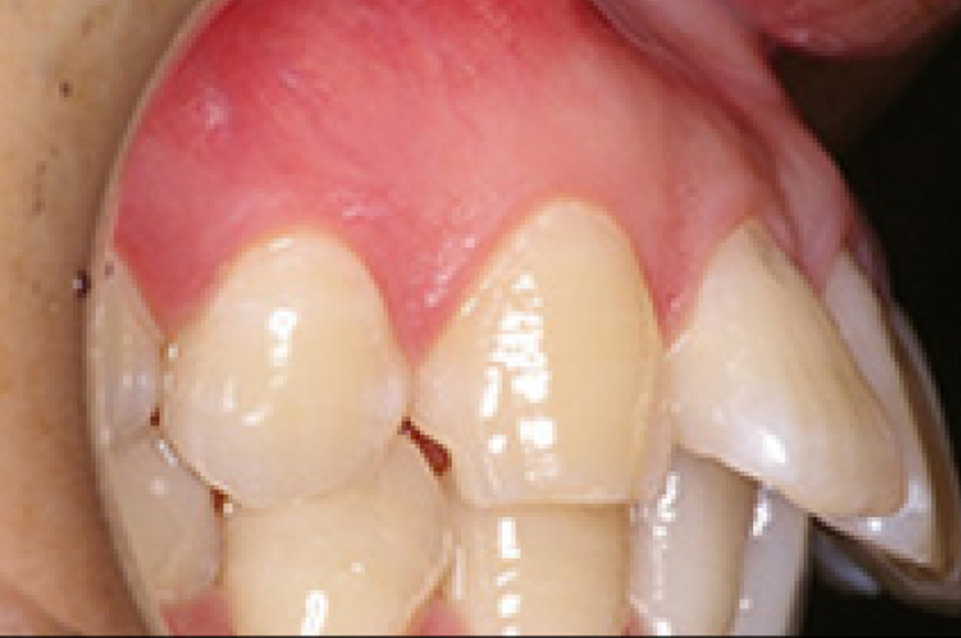
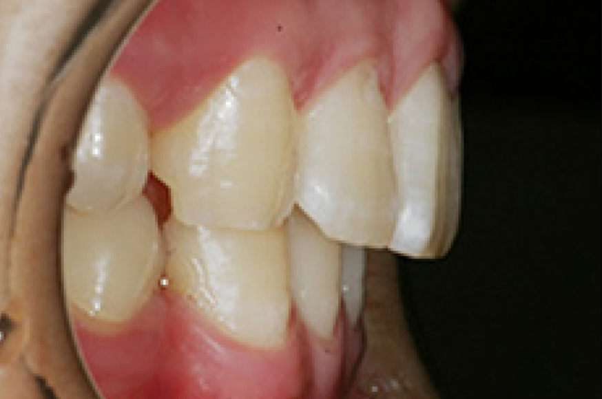
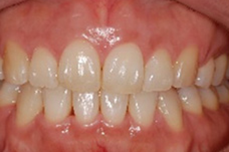
중장년층 교정치료건강한 노후를 위한 준비입니다.

잇몸질환으로 인한 아래 앞니의 발치치료 후 임플란트 없이 부분교정치료로 마무리 한 환자
16

서울바른훈치과 옥니방지교정

  • POINT

    01

    중장년층의 교정치료는 의료진의 다양한 경험과 환자분과의 상담을 통해 치료의 목표를 정하는 것이 무엇보다 중요합니다.

  • POINT

    02

    교정과 전문의 대표원장의 책임 진료하에 많은 중장년층 환자분들이 치료를 받고 있습니다.

  • POINT

    03

    꼭 얻어야 할 건 얻고 버릴 건 버려야 할 결단력도 필요합니다.

  • POINT

    04

    10대 청소년들처럼 모든 걸 얻어야 하는 치료 계획은 오히려 악이 될 수도 있습니다.

17

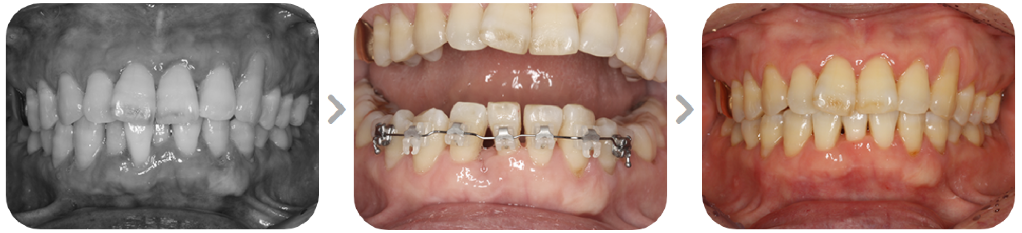
성인 / 중장년층 치아교정

치아교정, 성장기에만 할 수 있는 치료가 아닙니다. 20대뿐 아니라 40대 이후에도 많은 분들이 치아교정을 통해 자신감과 치아 건강을 회복하고 계십니다.

치아교정시기

교정치료에 늦은 시기는 없습니다. 치아교정을 통해 자신감 회복, 치아 건강을 회복하고 싶은분이라면 언제든지 치아교정이 가능합니다. 최근에도 40 - 50대에도 치아교정을 통해 건강한 미소를 되찾는 분들이 늘어나고 있습니다.
  • 20대 치아교정 전

    20대 치아교정 후

  • 30대 치아교정 전

    30대 치아교정 후

  • 40대 치아교정 전

    40대 치아교정 후

  • 50대 치아교정 전

    50대 치아교정 후

문의 및 상담전화

02.352.2828

  • 진료안내

    평일 AM 10:00 - PM 06:30
    화·목 AM 10:00 - PM 09:00 (야간진료)
    토요일 AM 10:00 - PM 02:30
    점심시간 PM 01:00 - PM 02:00
    • 토요일은 점심시간 없이 진료합니다.
    • 일요일 및 공휴일은 휴진입니다.

제휴 및 협력

서울대학교
서울대학교치과병원
은평구
서울특별시
연신내 상점가 상인회
한화손해보험
연서시장 상인회
아이에스티웹
외국인 환자 유치 의료기관
서울관광재단
국민일보 쿠키뉴스
포스코건설
근로복지공단
고용노동부
일산병원
강북삼성병원
이화여자대학교 의료원
가톨릭대학교 은평성모병원
동국대학교 일산병원