자세히보기

TOP
BARUN HOON wisdom tooth

사랑니발치

바른훈치과만의 사랑니발치

대학병원에서 해야 한다는 어려운 케이스의 사랑니도 발치합니다.

사랑니가 신경과 맞닿아 있는 상황을 제외하고는 안전하고 신속하게 발치가 가능합니다. 사랑니가 비스듬하게 누워있는 경우에는 수술적인 방법을 통해 발치를 해야합니다.
신경과 맞닿아 있는 경우에는 신경손상의 우려가 있음으로 주의하셔야 합니다. 때문에 사랑니 발치는 많은 경험을 가진 의료진에게 받아야 합니다.
01

왜 사랑니는 바른훈치과인가요?

사랑니 발치는 간단히 보이지만 숙련된 의사의 발치가 중요합니다.

사람에 따라 다르지만 사랑니는 대부분 뼈의 자리가 부족하거나 기울어져 나거나 일부분에만 나오게 되어 관리가 매우 힘들고 인접 치아에 충치까지 유발할 수 있습니다. 매복사랑니는 고난이도 기술이기 떄문에 숙련된 의사의 발치가 중요합니다.
02

사랑니 발치가 필요한 이유가 뭔가요?

사랑니로 인해 잇몸이 붓고 충치가 생기게 되며, 잇몸 안에서 염증의 문제를 일으켜 감염, 통증 뿐만 아니라 물혹을 형성하는 등 심각한 문제로 번지기 때문에 제거하는 것이 좋습니다.

사랑니 발치가 필요한 이유

  • 충치 및 잇몸 질환을 유발
  • 치열이 불규칙
  • 턱 전체로 퍼질 수 있는 심한염증
03

사랑니 발치 방법

  • 단순발치

    어금니 뒤쪽으로 공간이 충분하여 사랑니가 똑바로 잘 나온 경우 잇몸을 절개하거나 하는 과정 없이 비교적 간단하게 사랑니를 발치 할 수 있습니다.

  • 수술적 발치

    어금니 뒤쪽 공간이 부족하여 잇몸을 절개하여 사랑니를 발치하는 과정 중에 치아를 조각내거나 주위의 뼈를 갈아내고 뽑아야 하는 경우도 있습니다

04

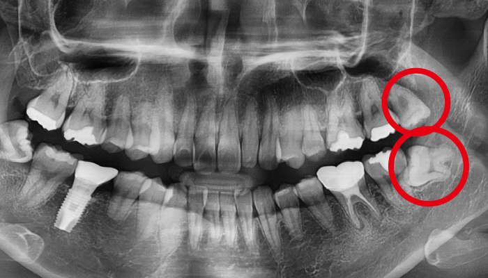
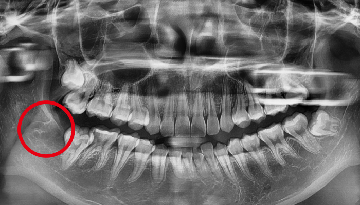
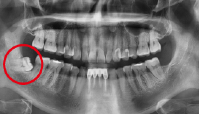
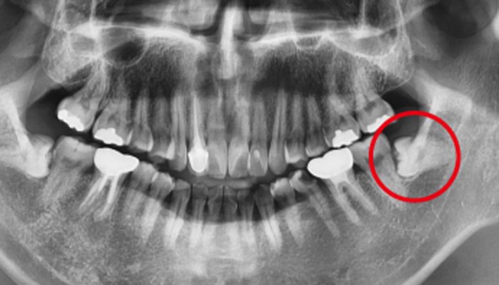
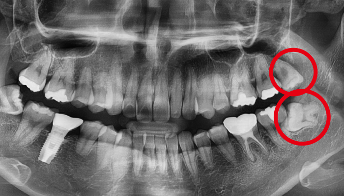
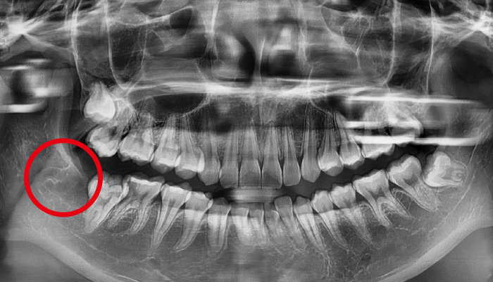
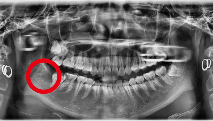
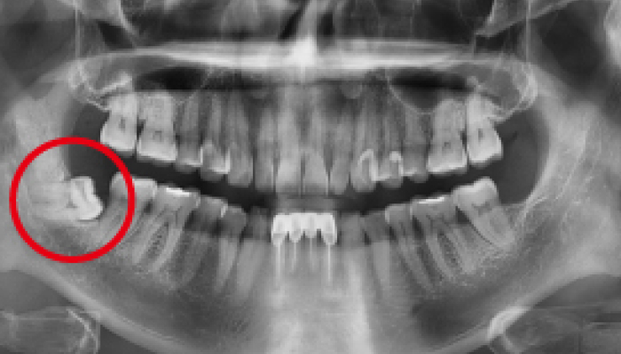
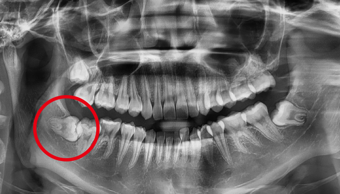
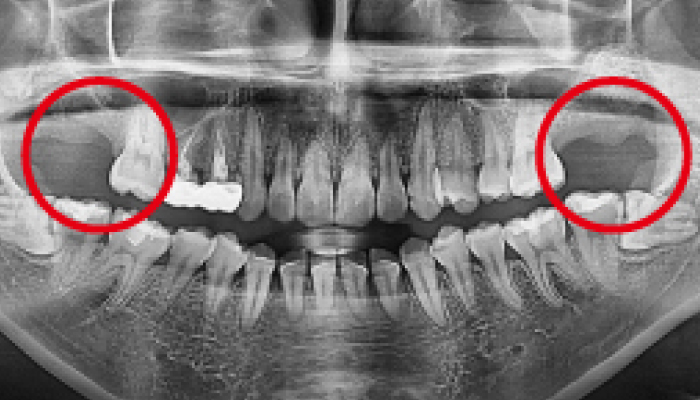
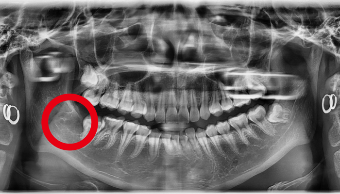
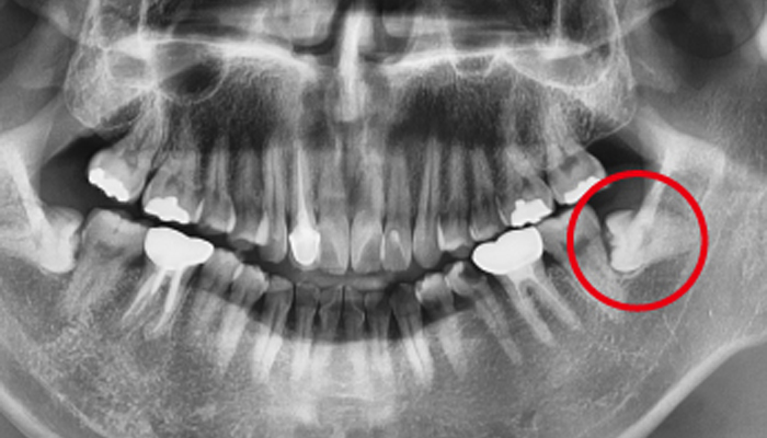
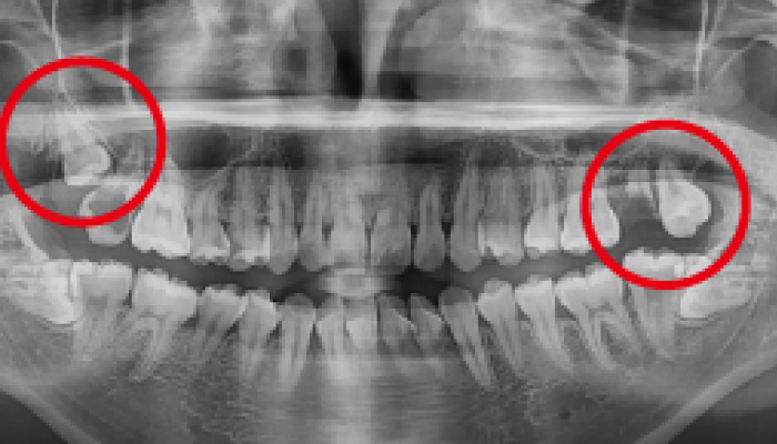
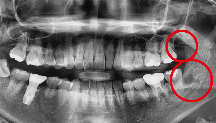
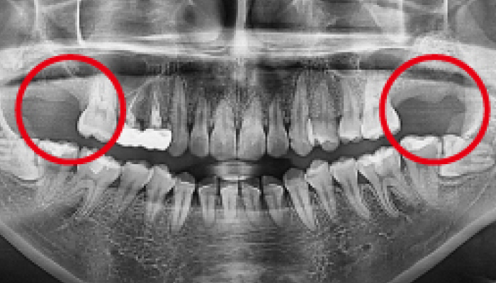
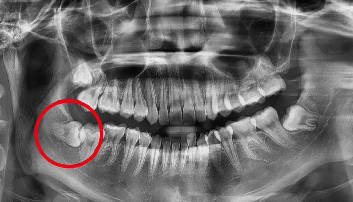
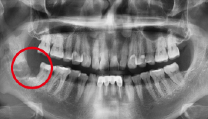
사랑니 발치 전후 사례

  • 치료 전

    치료 후

  • 치료전

    치료후

문의 및 상담전화

02.352.2828

  • 진료안내

    평일 AM 10:00 - PM 06:30
    화·목 AM 10:00 - PM 09:00 (야간진료)
    토요일 AM 10:00 - PM 02:30
    점심시간 PM 01:00 - PM 02:00
    • 토요일은 점심시간 없이 진료합니다.
    • 일요일 및 공휴일은 휴진입니다.

제휴 및 협력

서울대학교
서울대학교치과병원
은평구
서울특별시
연신내 상점가 상인회
한화손해보험
연서시장 상인회
아이에스티웹
외국인 환자 유치 의료기관
서울관광재단
국민일보 쿠키뉴스
포스코건설
근로복지공단
고용노동부
일산병원
강북삼성병원
이화여자대학교 의료원
가톨릭대학교 은평성모병원
동국대학교 일산병원