자세히보기

TOP
BARUN HOON cavity / nerve

충치 / 신경치료

바른훈치과만의 충치치료

불편이 느껴지기 전에 미리미리 치료해야 합니다.

치과를 내원하게 되는 가장 흔한 원인인 충치는 입안에 있는 세균이 당분을 분해하며 생기는 산이 치아를 녹여 생기는 것입니다.
치아가 녹거나 닭게 되면 신경에 이르는 미세한 관들이 노출되기 때문에, 온도에 따라 시린 증세가 나타나게 되며, 진행이 되면 신경에 염증을 일으켜 심한 통증을 유발 합니다.
01

충치 치료 방법

  • 레진충전 치료

    앞니나 작은 어금니 등 보이는 위치 또는 큰 어금니의 간단한 충치에는 치아색과 비슷하고 치아에 직접 접착하는 레진이라는 재료를 주로 사용합니다. 심미적인 치료에 대한 요구가 높아지고 있는 요즘 레진 접착제의 발달과 재료의 그 적용 범위가 점점 더 넓어지고 있습니다.

  • 인레이 치료

    충치의 범위가 커서 레진충전 치료가 어려울 때 필요한 치료입니다. 인레이 치료는 충치 부위를 제거한 뒤 본을 뜨고 금, 레진, 지르코니아 등의 재료로 수복물을 만들어 치아에 접착합니다. 치아의 형태를 정확히 재현하여 기능을 회복시켜 주는 치료입니다.

02

충치예방은 건강한 치아를 위한 첫걸음 입니다!

  • 01 칫솔질

    최선의 예방법인 칫솔질은 충치의 원인인 음식물을 제거해주는 1차적인 아주 좋은 방법입니다.
  • 02 불소도포

    불소는 치아의 법랑질을 단단하게 만들어주는 역할을 하며 산에 저항하는 성질을 강화시켜줍니다.
  • 03 실런트(치아코팅)

    영구치가 나는 6-7세부터 시작하는게 좋으며 치아의 홈을 매우는 실런트로 80-90% 충치를 예방 할 수 있습니다.
03

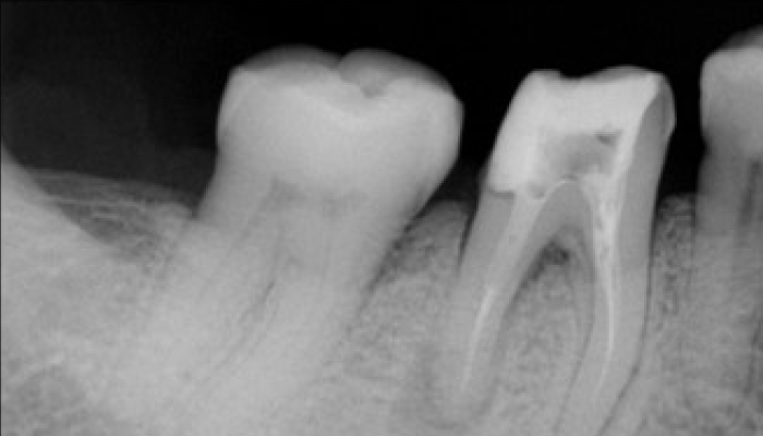
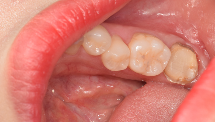
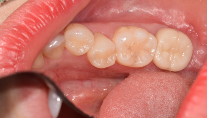
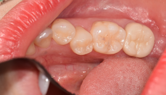
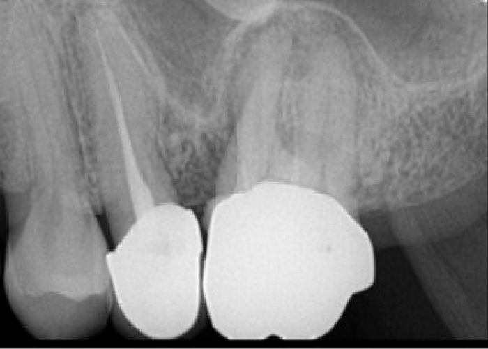
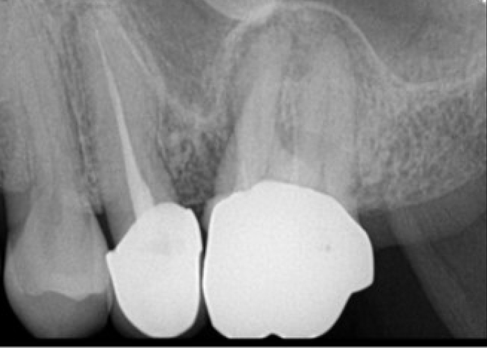
충치치료 전후 사례

  • 치료 전

    치료 후

  • 치료전

    치료후

자연치아를 살리는 마지막 치료, 신경치료 바른훈치과에 맡겨주세요!

불편이 느껴지기 전에 미리미리 치료해야 합니다.

치아는 딱딱한 경조직이지만 그 안은 신경 및 혈관 같은 연조직이 자리잡고 있습니다. 이로 인해 치아는 온도를 느끼고 통증을 느끼게 됩니다.
충치가 심하게 진행되어 신경(치수)까지 손상되면 신경 조직에 염증이 생겨서 큰 통증이 오게 되는데 이 때 치아를 발치하지 않고 사용할 수 있도록 하는 치료 방법입니다.
04

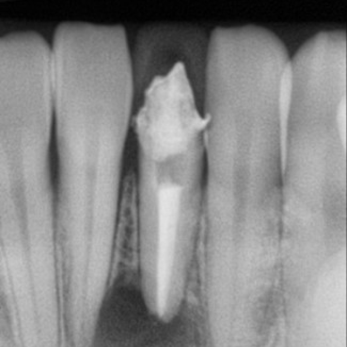
신경치료 과정

충치가 심해서 신경치료를 하게 되는 경우 먼저 치아의 충치를 모두 제거하고 치수까지 구멍을 뚫습니다. 이 공간을 통해서 치아의 뿌리 부위까지 안 쪽에 있는 치수(신경 조직)을 모두 제거하고 일정한 크기로 확대시킨 후 치과용 생체 적합 재료로 채워 넣습니다. 신경치료를 마친 치아는 약해져서 부러지기 쉽기 때문에 크라운 치료를 해줘야 합니다.
  • STEP 01

    심한 충치로 인해 신경조직이 감염되어 신경치료가 필요한 상태입니다.
  • STEP 02

    치아 겉면의 충치와 염증이 생긴 내부의 신경조직을 제거합니다.
  • STEP 03

    깨끗이 제거된 내부의 신경관을 소독한 후 충전 재료로 채웁니다.
  • STEP 04

    신경치료 후 손상되기 쉬운 치아를 보호하기 위해 크라운을 씌웁니다.
05

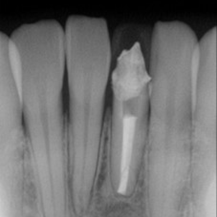
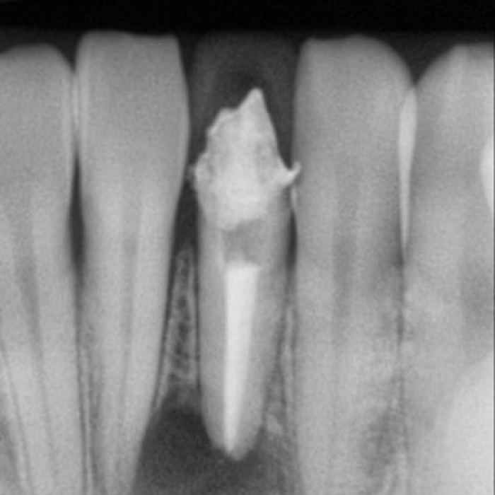
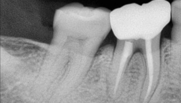
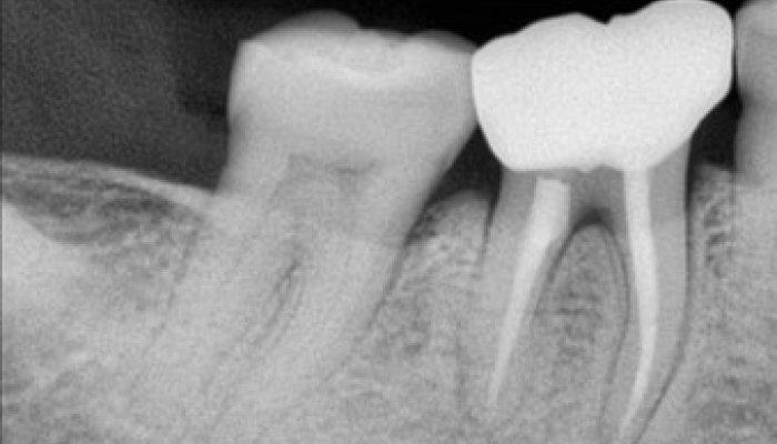
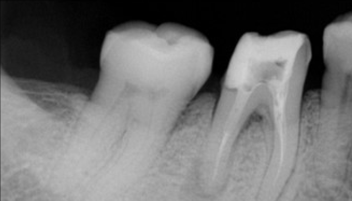
신경치료 전후 사례

  • 치료 전

    치료 후

  • 치료전

    치료후

06

신경치료 이런분께 추천드립니다!

다음과 같은 경우 신경치료를 통해 자연스러운 치아로 회복하실 수 있습니다.
  • 심한 충치로 신경까지
    염증이 발생한 경우
  • 과거 신경치료 받은 치아에
    염증이 재발한 경우
  • 치아에 금이 가거나
    흔들리는 경우
  • 치아가 심하게
    닳거나 패인 경우

문의 및 상담전화

02.352.2828

  • 진료안내

    평일 AM 10:00 - PM 06:30
    화·목 AM 10:00 - PM 09:00 (야간진료)
    토요일 AM 10:00 - PM 02:30
    점심시간 PM 01:00 - PM 02:00
    • 토요일은 점심시간 없이 진료합니다.
    • 일요일 및 공휴일은 휴진입니다.

제휴 및 협력

서울대학교
서울대학교치과병원
은평구
서울특별시
연신내 상점가 상인회
한화손해보험
연서시장 상인회
아이에스티웹
외국인 환자 유치 의료기관
서울관광재단
국민일보 쿠키뉴스
포스코건설
근로복지공단
고용노동부
일산병원
강북삼성병원
이화여자대학교 의료원
가톨릭대학교 은평성모병원
동국대학교 일산병원