자세히보기

TOP
BARUN HOON AESTHETIC

잇몸치아성형

바른훈치과만의 잇몸치아성형

환한미소·황금비율 그 비율을 찾아드립니다.

잇몸성형은 잇몸의 일부분을 절개함으로써 비대하거나 비대칭적인 잇몸라인을 자연스럽고 예쁘게 만들어주는 시술입니다.
음식물 저작 시 쉽게 손상받거나 음식물이 치아사이에 자주 끼어 잘 빠지지 않는 경우, 잇몸이 양치질을 방해하여 구강 위생관리가 불편한 경우 잇몸의 형태를 알맞게 다듬어 줍니다.
  • 잇몸이 치아를 과하게 덮어
    치아가 짧아 보이는 경우
  • 잇몸 높이가
    비대칭인 경우
  • 미소를 지을 때
    잇몸이 많이 노출되는 경우
  • 잇몸색이 검붉거나 멜라닌
    색소 침착으로 검게 변한 경우
01

잇몸성형의 종류

  • 01 잇몸라인 성형술

    치아와 잇몸이 맞닿는 잇몸 라인을 바꾸어 치아가 훨씬 시원하게 보일 수 있도록 합니다. 치열은 바르지만 잇몸이 비대칭이어서 치아가 삐뚤어 보일 때도 잇몸라인 성형술로 좋은 결과를 낼 수 있습니다.
  • 02 잇몸 이식술

    치아의 뿌리가 노출된 경우나 임플란트를 시행할 치아의 잇몸이 충분하지 않을 때 입천장의 잇몸을 잘라내어 이식합니다. 입천장의 잇몸은 시간이 지나면 다시 재생됩니다.
  • 03 잇몸 박피술

    잇몸이 어둡고 칙칙하면 꺠끗하고 밝은 인상을 주기 어렵습니다. 잇몸 박피술은 잇몸의 과도한 멜라닌 색소를 제거하여 건강한 선홍색 잇몸으로 만들어 줍니다.
02

잇몸성형의 이유

치아미백제에는 과산화수소 성분이 포함되어 있으며 그함량이 높을 수록 효과가 강하게 나타납니다. 하지만 지나치게 농도가 높은 미백제를 사용할 경우 치아손상이 발생할 수 있으므로 반드시 풍부한 미백치료 경험이 있는 전문가에게 치료를 받아야 합니다.

레이저로 간단하게 잇몸성형

잇몸을 절개하는 기존 수술법에 비해 레이저 장비를 이용해 시술이 간단합니다.

환자를 위한 통증 적은 시술

통증에 예민한 분들을 제외하고 마취가 생략될 정도로 통증에 부담이 없습니다.

일상생활로 빠르게 복귀

기존 수술법에 비해 출혈이 적어 통증의 부담이 없고 회복이 빠릅니다.

치아뿐만이 아니라 잇몸의 건강

잇몸 양이 과도할 경우엔 이물질이 쉽게 껴 구강의 건강을 해칠 수 있습니다.
03

잇몸성형 치료 과정

  • STEP 01

    정밀검사

    치료 전 검사를 통해 환자분의 치아, 잇몸상태를 파악합니다.

  • STEP 02

    잇몸라인 디자인

    환자분의 이미지, 구강모양에 맞는 잇몸라인을 구현하기 위한 디자인을 계획합니다.

  • STEP 03

    레이저를 이용한 잇몸성형

    필요한 경우 간단한 마취를 한 뒤 레이저 장비를 이용하여 잇몸성형을 진행합니다.

  • STEP 04

    스마일 라인 완성

    환하게 웃어도 자연스러운 잇몸라인이 완성됩니다.

04

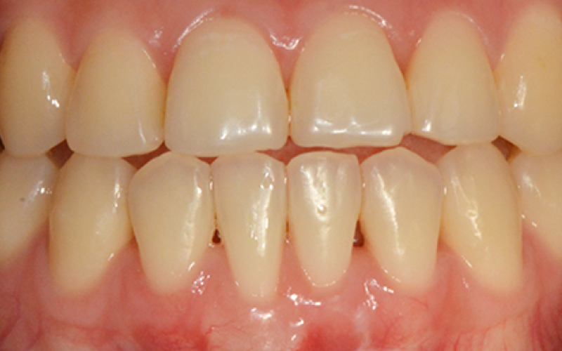
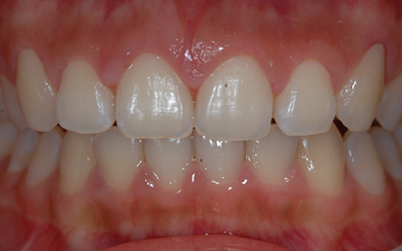
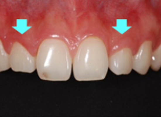
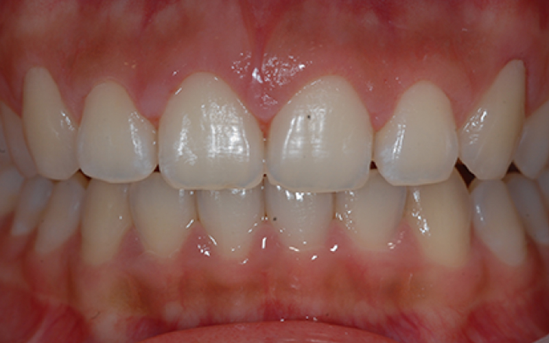
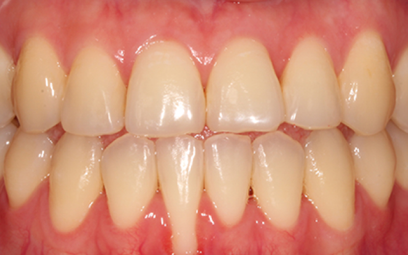
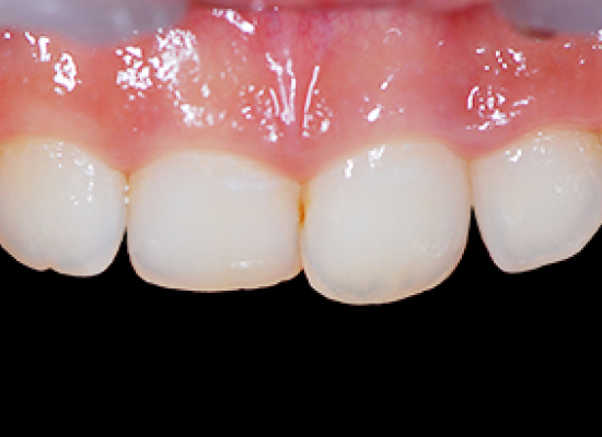
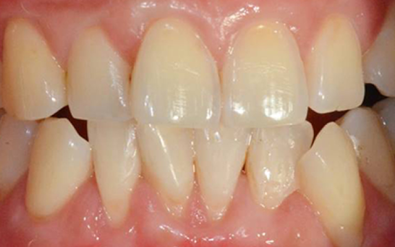
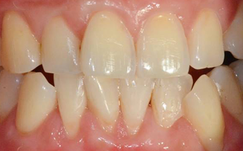
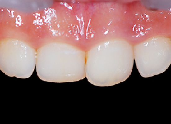
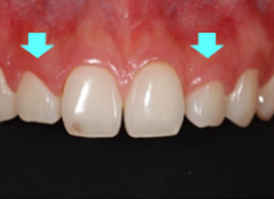
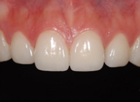
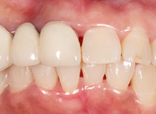
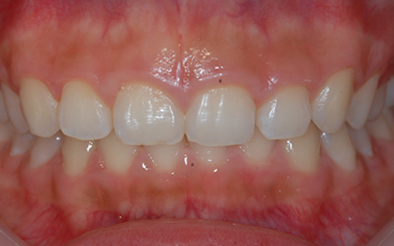
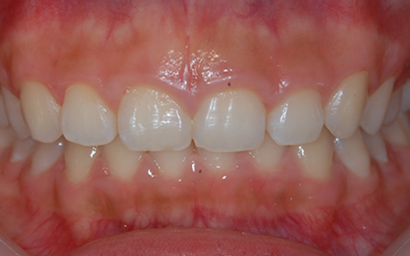
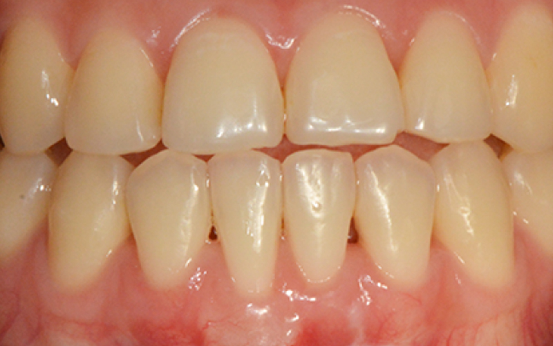
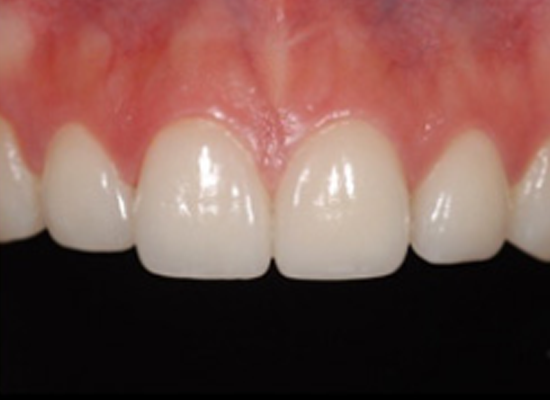
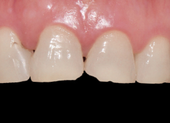
잇몸치아성형 전후 사례

  • 1. 잇몸이 과도하게 노출되는 거미스마일을 개선한 사례들

    시술전

    시술후

  • 시술전

    시술후

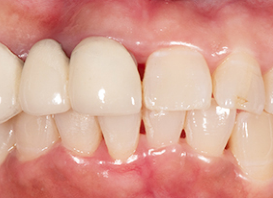
  • 2. 치아가 짧게 노출되어 있어, 잇몸성형술로 개선한 사례

    시술전

    시술후

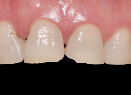
  • 3. 교정치료 부작용으로 나타난 치은퇴축을 잇몸이식 성형술로 개선한 사례

    시술전

    시술후

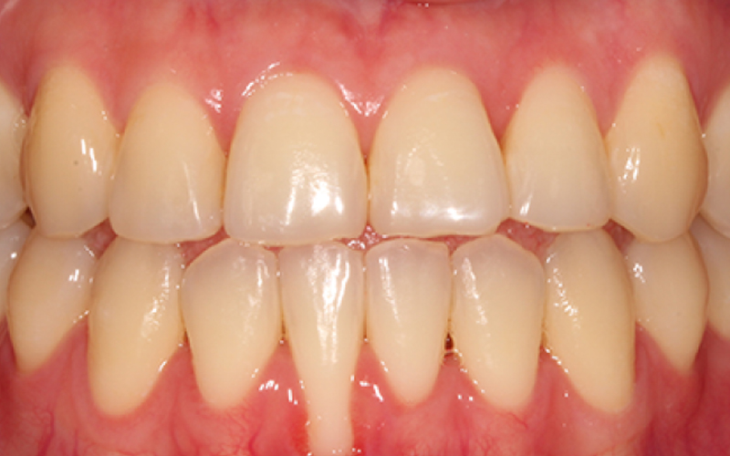
  • 4. 잇몸질환으로 인한 치은퇴축을 잇몸이식성형술로 개선한 사례

    시술전

    시술후

05

잇몸 성형 이런분께 추천드립니다!

아래의 사항들에 해당되시는 분들께는 잇몸성형 치료방법을 권해드립니다.
  • 웃을 때 잇몸이 과도하게
    노출이 되는 경우
  • 잇몸이 치아를 덮고
    있는 정도가 심한 경우
  • 잇몸 라인이 불규칙하여
    치아가 삐뚤어져 보이는 경우
  • 잇몸이 내려앉아 치아
    뿌리가 드러나있는 경우
06

잇몸 성형 시술 시간 및 통증

대개 잇몸성형은 30분 내외의 짧은 시간이 소요되며 잇몸라인을 다듬는 치은절제술의 경우 잇몽을 들추거나 열지 않기 때문에 통증과 붓기가 거의 없습니다.

회복기간의 경우 대게 하루 이틀 정도면 대부분의 붓기도 가라앉으며 개개인에 따라 차이는 있지만 실제로 시술 받은 분들이 통증에 대해 불편함을 호소하는 경우가 많지 않습니다.
단, 치조골성형이나 구강전정술의 경우 실밥을 제거해야 하는 과정이 있어 최소 2회의 내원이 필요합니다.

문의 및 상담전화

02.352.2828

  • 진료안내

    평일 AM 10:00 - PM 06:30
    화·목 AM 10:00 - PM 09:00 (야간진료)
    토요일 AM 10:00 - PM 02:30
    점심시간 PM 01:00 - PM 02:00
    • 토요일은 점심시간 없이 진료합니다.
    • 일요일 및 공휴일은 휴진입니다.

제휴 및 협력

서울대학교
서울대학교치과병원
은평구
서울특별시
연신내 상점가 상인회
한화손해보험
연서시장 상인회
아이에스티웹
외국인 환자 유치 의료기관
서울관광재단
국민일보 쿠키뉴스
포스코건설
근로복지공단
고용노동부
일산병원
강북삼성병원
이화여자대학교 의료원
가톨릭대학교 은평성모병원
동국대학교 일산병원