자세히보기

TOP
01

서울바른훈치과만의 특별한 치아미백

  • 01

    치아미백과 치아재광화 촉진을 한 번에! 치아를 더 하얗고 더 튼튼하게!
  • 02

    고농축 미백제 제품을 사용하여, 기존 미백 제품보다 효과가 더 뛰어납니다.
  • 03

    치아 시림이나 손상 등 여러 부작용 없이 안전하게 미백 할 수 있습니다.
  • 04

    시술 후 과민반응 및 FADE BACK을 최소화해 기능과 심미성을 함께 보존합니다.
02

원데이 치아미백이 필요한 경우

  • 01. 치아 색 때문에 콤플렉스가 생긴경우
  • 02. 잦은 커피, 와인, 흡연 등으로 치아가 착색된 경우
  • 03. 치아가 누렇게 변색된 경우
  • 04. 선천적으로 치아의 색이 누런 경우
  • 05. 결혼, 면접, 취업을 앞둔 경우
BARUN HOON AESTHETIC

치아미백

바른훈치과만의 치아미백

치아미백으로 밝고 환한 미소를 경험해 보세요.

시간이 지남에 따라 치아가 누렇게 되거나 유전으로 누런경우, 담배나 기타 특정 음식물등으로 인해 착색 또는 변색된 자연치아를 밝게 하는 것으로
칫솔질 및 스케일링으로는 해결되지 않는 치아에 손상을 주지 안혹 미백약제의 약리 작용만을 이용하여 치아를 원래의 색조나 그 이상으로 희고 밝게 만들어주는 치료입니다.
03

치아미백 치료방법

충분한 상담 후 환자에게 맞는 최상의치료를 받을 수 있도록 해드립니다.
  • 전문가 미백

    바른훈치과는 안전을 승인 받은 미백제를 사용합니다.

    전문가 미백은 미백제와 미백 전용 램프를 이용하여 오랜 기간에 걸쳐 누렇게 착색되고 변색된 치아를 하얗게 만들어 드리는 치료방법입니다.

  • 자가 미백

    치아 틀에 미백제를 도포하여 착용하는 방법입니다.

    자가 미백은 개인별 자가 미백 키트를 이용하여 집에서도 치아 미백을 할 수 있는 방법으로 전문가 미백의 효과를 더욱 오래 지속시켜주는 치료방법입니다.

04

일반미백과 전문가 미백치료 비교

치아미백제에는 과산화수소 성분이 포함되어 있으며 그함량이 높을 수록 효과가 강하게 나타납니다. 하지만 지나치게 농도가 높은 미백제를 사용할 경우 치아손상이 발생할 수 있으므로 반드시 풍부한 미백치료 경험이 있는 전문가에게 치료를 받아야 합니다.
  • VS

  • 일반미백

    구분

    전문가미백

  • 과산화수소 3.4~5.4%

    주성분 농도

    고농도 과산화수소 15%
  • 장시간 반복사용

    시술시간

    약 30분
  • 둔착함

    미백정도

    1회의 시술로 큰 효과
  • 치과의사와 상담 후 전문가 미백과 병행

    특징

    치과전문인력 전문가 시술이 필요함
05

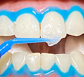
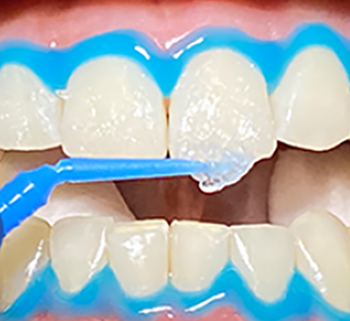
원데이 치아 미백의 과정

  • 치아 - 잇몸상태의 촬영과 진단
  • 미백효과 최대화를 위한 표면 폴리싱
  • 잇몸보호제 도포
  • 치아미백제 도포
  • 특수 램프 조사
"미백 겔 치아에 도포" ↔ "특수 램프조사"
06

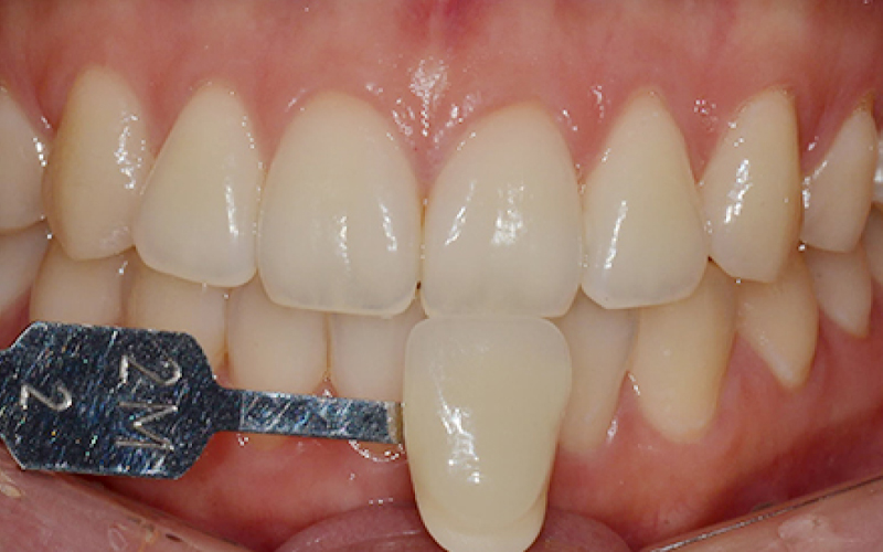
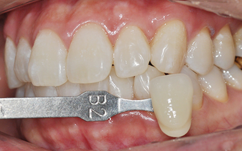
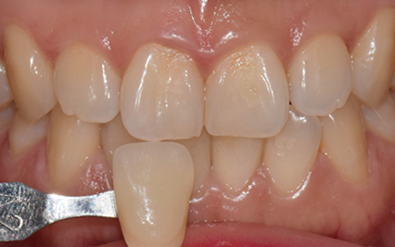
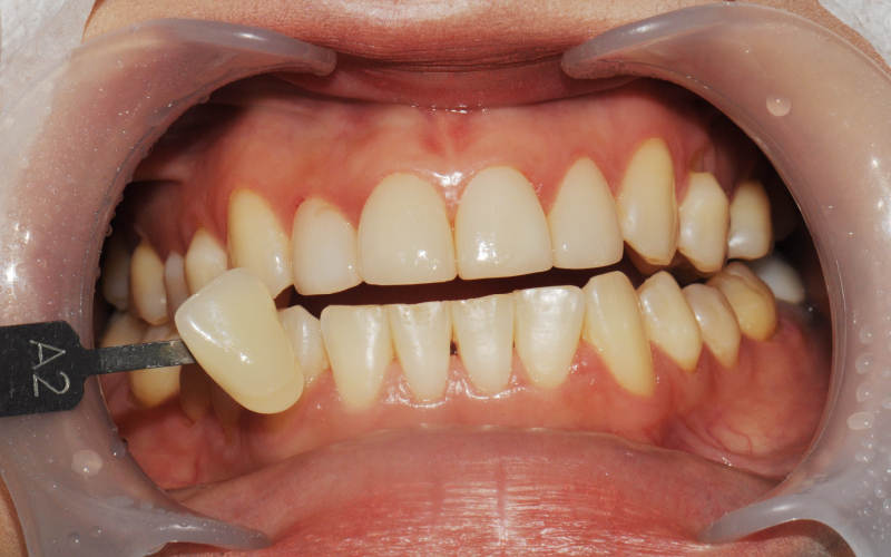
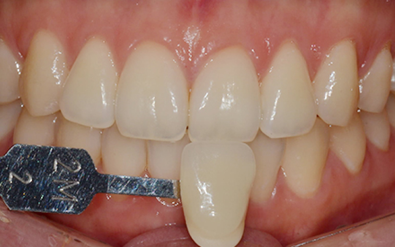
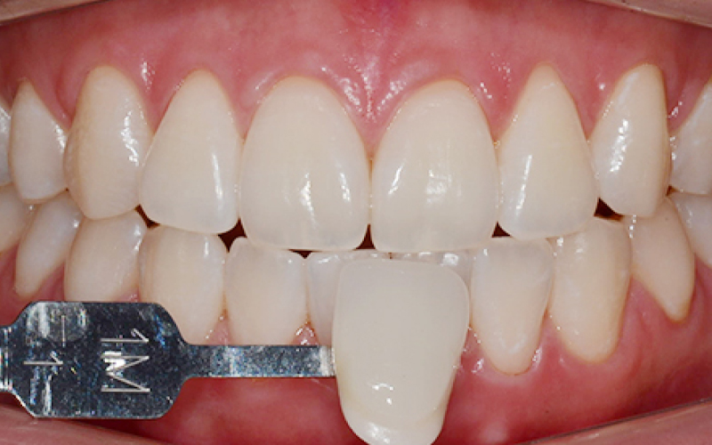
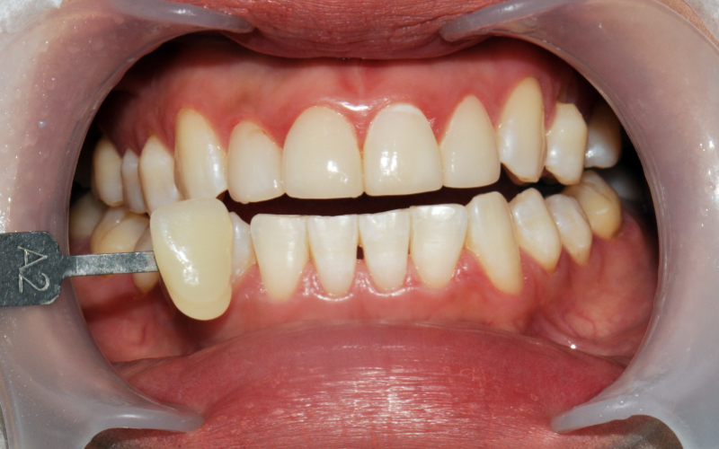
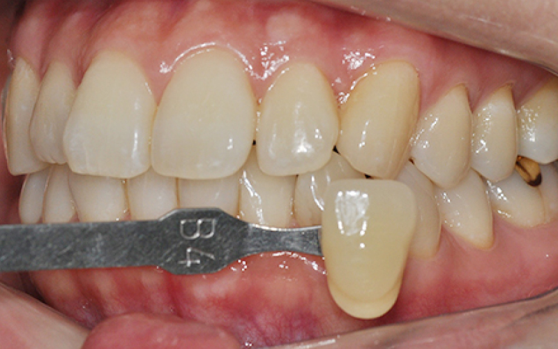
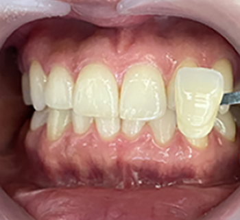
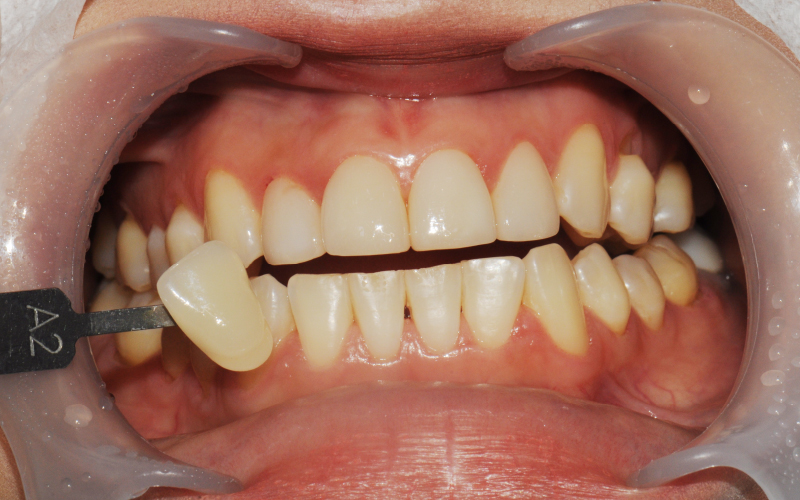
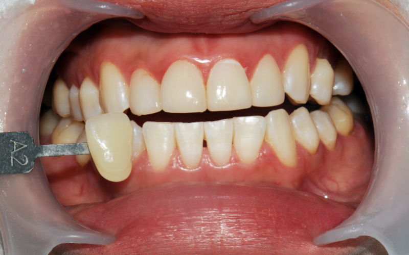
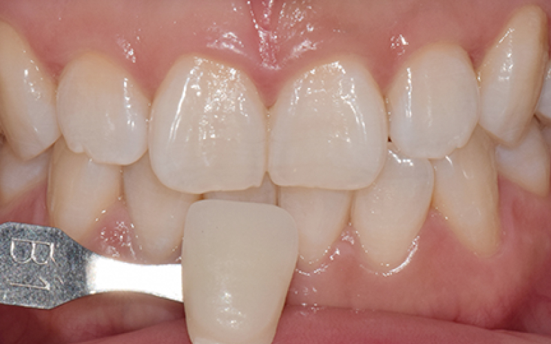
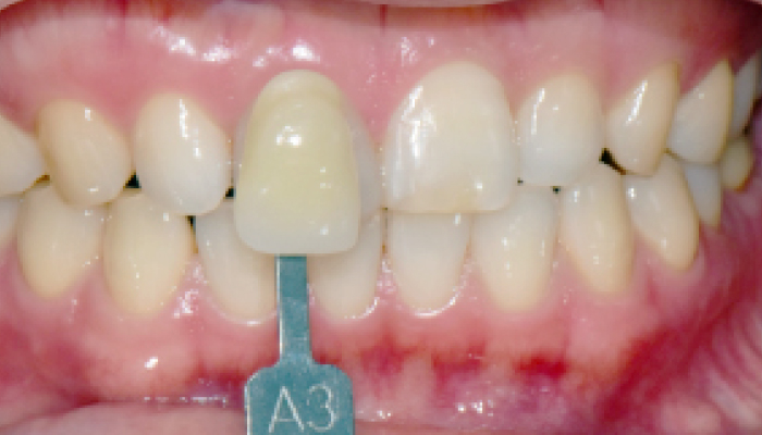
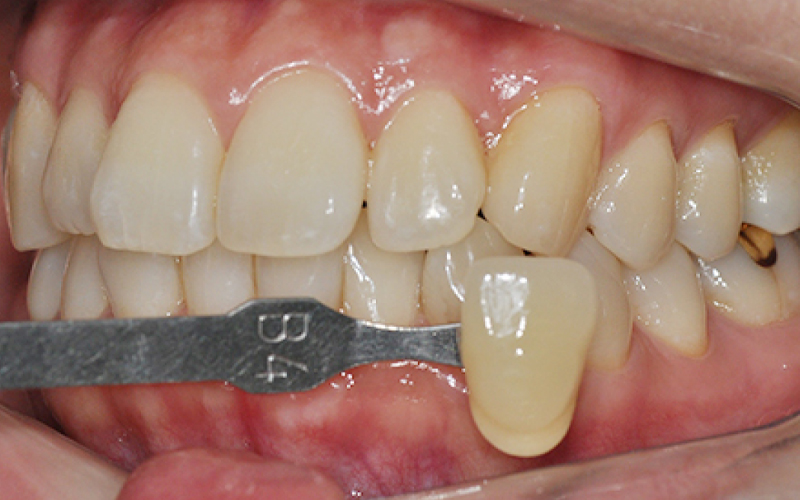
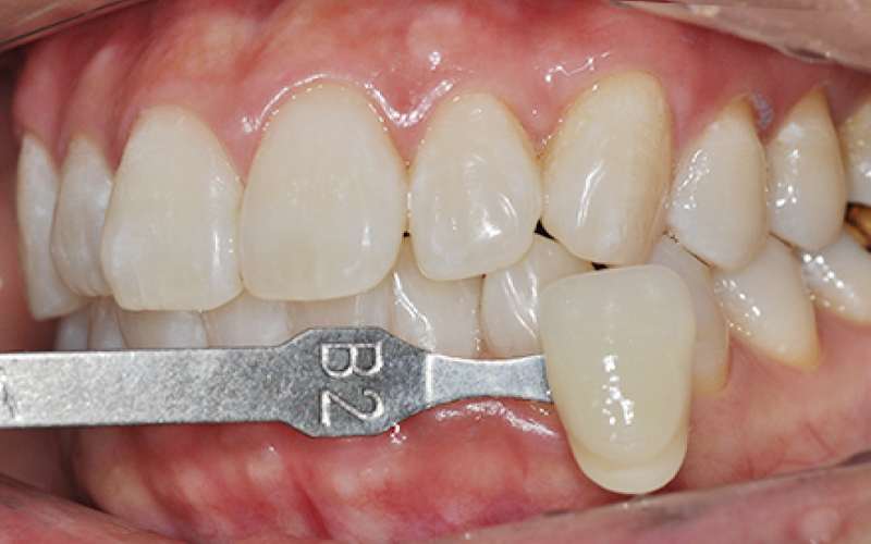
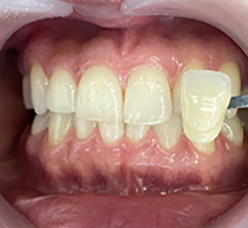
치아 색상 자가 체크

치아색은 A1 ~ D4까지 총 16단계로 구분합니다. B1에 가까울수록 자연치의 밝은 색이며, C4에 가까울수록 어두운 색에 해당합니다. 20~30대 연령층의 평균적인 치아색은 A2정도이며 A3부터는 어두운 편에 속합니다.
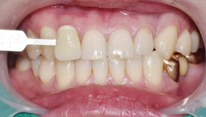
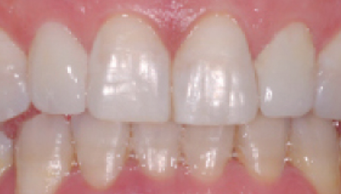
07

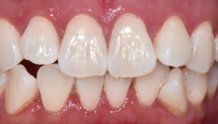
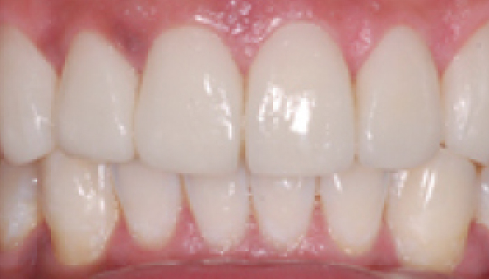
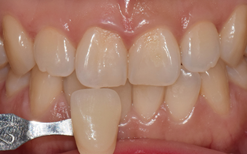
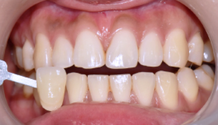
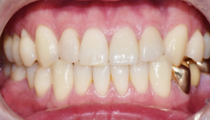
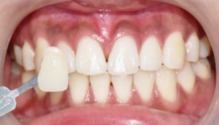
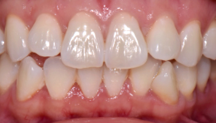
치아미백 전후 사례

  • 시술 전

    시술 후

  • 시술전

    시술후

  • 시술전

    시술후

  • 시술전

    시술후

08

전문가 미백치료 후 주의 사항

아래의 사항들에 해당되시는 분들께는 올세라믹 치료방법을 건해 드립니다.

주의 사항

  • 치료 24시간 이내에는 흡연을 삼가하여 주세요.
  • 흡연으로 재착색이 가능하므로 이를 막기 위해서 흡연 후에는 양치질을 철저히 해주셔야 합니다.
  • 미백 후에도 이런치아를 변색시키는 색소가 들어간 음식(콜라, 녹차, 홍차, 카레, 초콜릿, 와인)등은 착색의 원인이 되므로 되도록 절제하도록 하여주시고 섭취 시 바로 양치하거나 가글을 해 주세요.
  • 미백용 젤은 적당량만 사용하고 트레이 장착 시 젤이 넘치면 면봉이나 휴지로 닦아주셔야 합니다.
  • 치아에 묻어 있는 미백제를 닦아내거나 씻어낼 때에는 가볍게 양치 해주셔야 합니다.
  • 사용한 트레이는 칫솔을 사용해 찬물에 부드럽게 씻어 건조시킨 후 냉장보관 해 주셔야 합니다.
09

서울바른훈치과 오스템 정품의 뷰티스 미백제

서울바른훈치과는 식약처 인증으로 안정성을 검증받은 오스템 정품의 뷰티스 미백제를 사용하고 있습니다.

문의 및 상담전화

02.352.2828

  • 진료안내

    평일 AM 10:00 - PM 06:30
    화·목 AM 10:00 - PM 09:00 (야간진료)
    토요일 AM 10:00 - PM 02:30
    점심시간 PM 01:00 - PM 02:00
    • 토요일은 점심시간 없이 진료합니다.
    • 일요일 및 공휴일은 휴진입니다.

제휴 및 협력

서울대학교
서울대학교치과병원
은평구
서울특별시
연신내 상점가 상인회
한화손해보험
연서시장 상인회
아이에스티웹
외국인 환자 유치 의료기관
서울관광재단
국민일보 쿠키뉴스
포스코건설
근로복지공단
고용노동부
일산병원
강북삼성병원
이화여자대학교 의료원
가톨릭대학교 은평성모병원
동국대학교 일산병원