자세히보기

TOP
BARUN HOON AESTHETIC

올세라믹 크라운

바른훈치과만의 올세라믹 크라운

치아의 형태를 복원하거나 치아의 기능을 되살려 줍니다.

치아 성형의 일부로 치아가 많이 삐뚤어진 경우나, 많이 튀어나온 경우 치아 전체면을 깎아서 전체적으로 감싸주는 방법으로 반영구적 사용이 가능합니다.
차갑거나 뜨거운 음식에도 뛰어난 내구성을 자랑하며 금속이 들어가지 않고 세라믹의 반투명 색조로 인해 빛을 통과 시켜도 잇몸에 검은 라인이 생기지 않는 시술 입니다.
01

올세라믹 크라운 장점

짧은 치료기간

평균적 7일 이내에 완성 가능한 빠른 치료

자연치와 같은 만족감

자연치아와 빛 투과가 비슷해 자연스로운 결과

부작용 ZERO

생체 친화적인 재료로 알러지 유발이 없음

튼튼한 내구성

자연치아와 색상, 강도가 가장 유사한 강화세라믹을 사용하여 깨질 걱정 없음

잇몸걱정 NO

장치나 와이어가 없어 찔리거나 입안자극 등의 상처가 없음
02

올세라믹 크라운 VS 라미네이트

올세라믹 크라운

손상 범위에 따라 치아의 모든 면을 일정하게 삭제한 후 세라믹으로 제작된 보철물로 모양을 복원하는 시술

라미네이트

치아의 겉면을 앏게 삭제하여 인조 손톱 모양의 세라믹을 붙이는 시술
03

올세라믹 크라운과 라미네이트 비교

치아의 삭제량이 라미네이트 보다는 많기 때문에 반드시 정확한 검사와 진달을 통한 시술을 받으셔야 합니다.
  • VS

  • 라미네이트

    구분

    올세라믹 크라운

  • 치아표면을 0.5~0.7mm정도로 앏게 삭제한 다음 인조손톱 모양의 얇은 세라믹박편 (라미네이트)를 제작해 붙이는 방법

    정보

    치아색조를 가진 세라믹만을 사용하여 치아전체를 감싸주는 것으로 라미네이트에 비해 0.3~0.4mm의 추가 삭제 필요
  • 치아에 모자를 씌우듯 세라믹 도재로 치아를 감싸(0.5~0.7mm) 씌우는 방식

    시술방법

    치아 전체를 충분히 삭제하여 덮어 씌우는 방식
  • 적음

    삭제량

    많음
  • 치아 사이가 벌어진 경우 모양, 크기가 불규칙한 치아돌출된 앞니

    시술대상

    심하게 불규칙한 치열 부러지거나 깨져서 신경치료가 필요한 치아 치열의 불규칙한 정도가 심해 치아를 많이 삭제해야 하는 경우
  • 치아 형태와 모양, 색깔을 단기간에 변화시킬 수 있음 치아의 불규칙, 돌출 정도가 약한 경우에 적합

    특징

    치아 형태와 모양, 색깔을 단기간에 변화시킬 수 있음 치아 삭제량이 비교적 많고 신경치료의 가능성이 있음
04

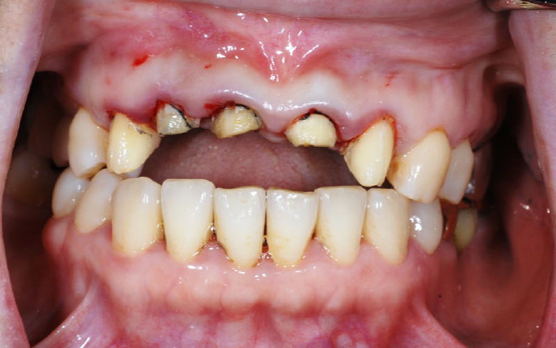
올세라믹 크라운 치료 과정

올세라믹 크라운의 치료과정을 확인해보세요.
  • 01

    개인 구강 상태에 따른 치료계획 수립을 위해 검진을 진행합니다.

  • 02

    치아를 삭제한 후 보철물 제작을 위해 인상 채득을 합니다.

  • 03

    치아의 형태, 색상, 배열 등을 고려하여 환자에게 적합한 보철물을 제작합니다.

  • 04

    제작된 보철물을 부착하여 치료를 완료합니다.

치료 전 확인하세요!

눈에 띄는 부위의 단기간 치료가 필요한 분들에게 효과적입니다.
05

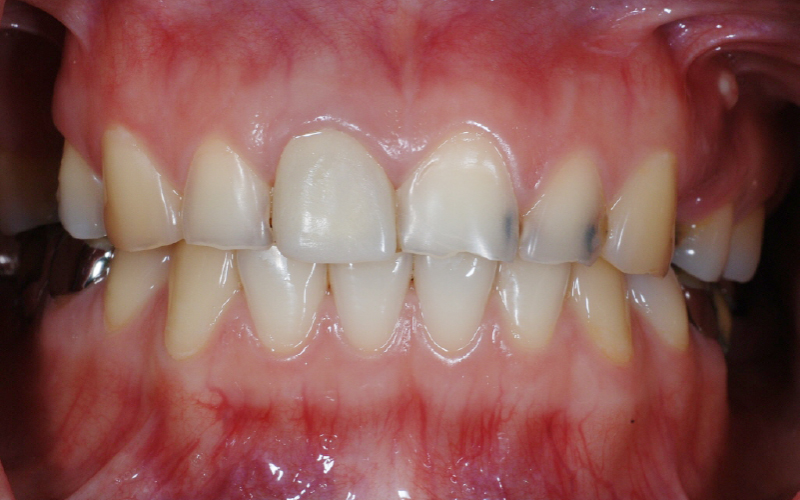
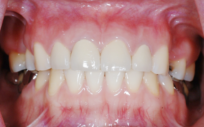
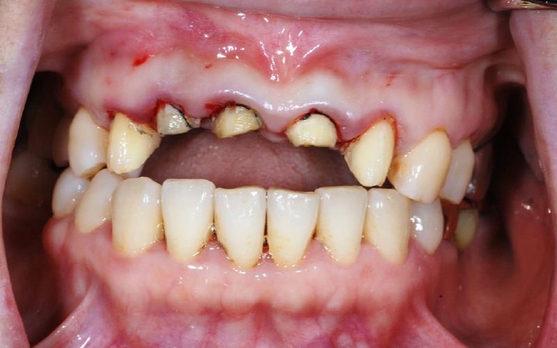
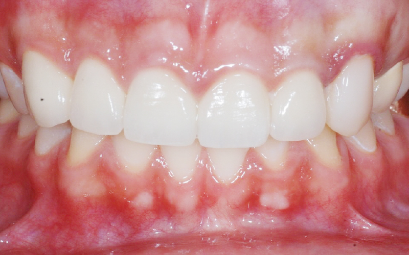
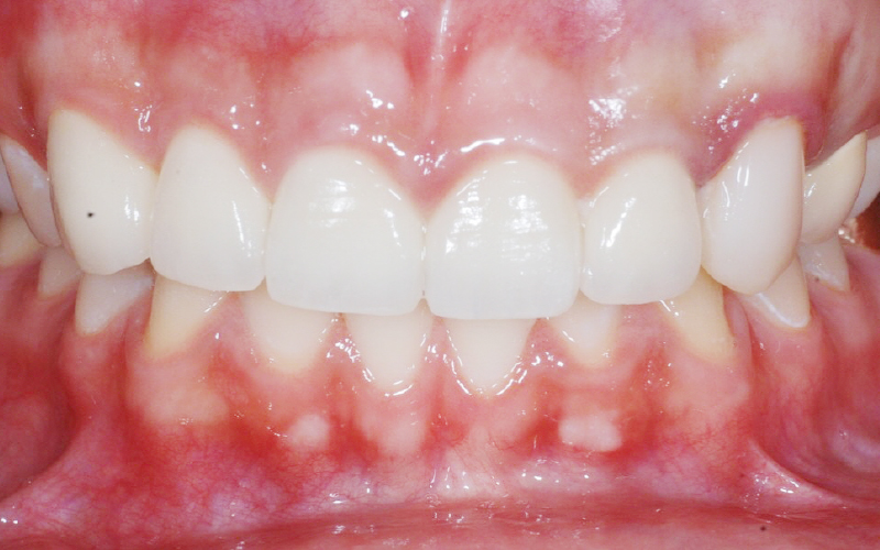
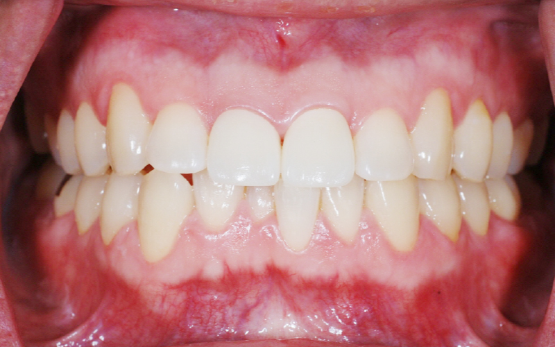
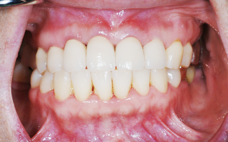
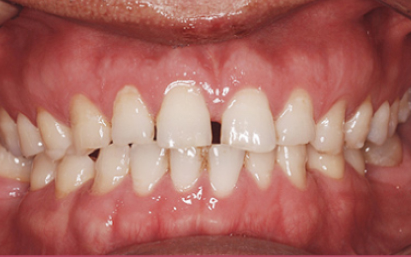
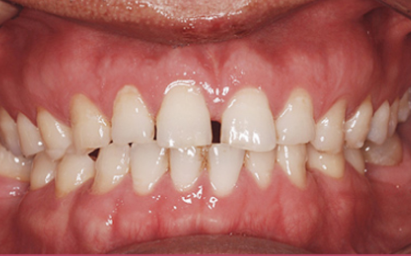
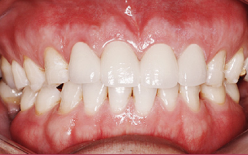
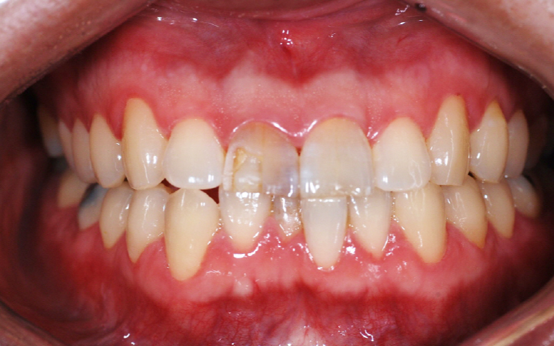
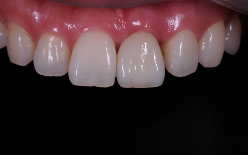
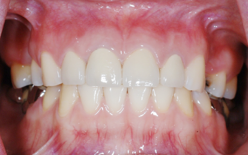
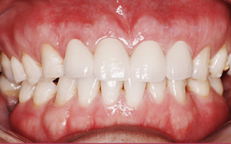
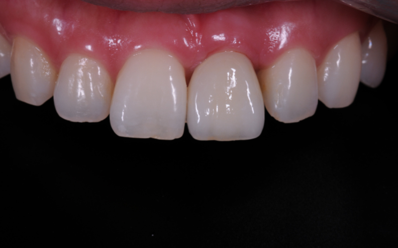
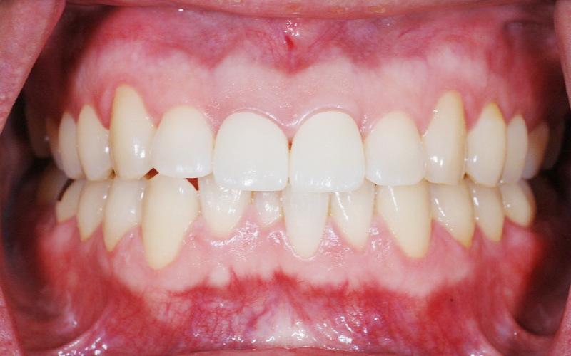
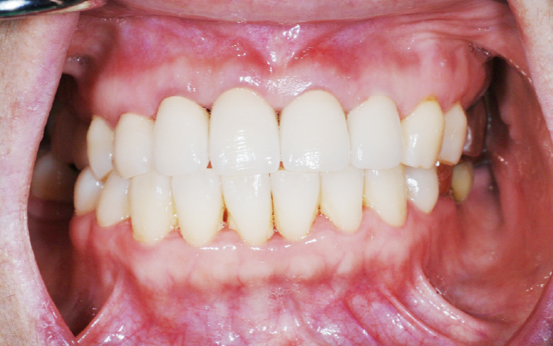
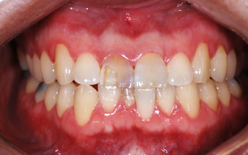
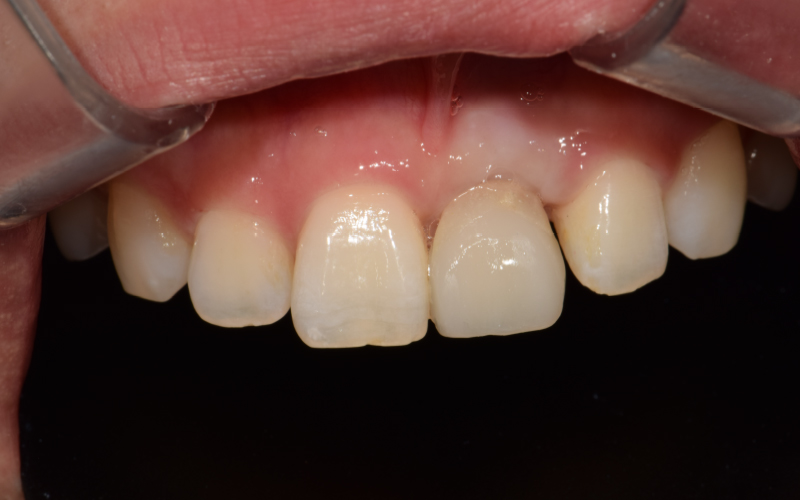
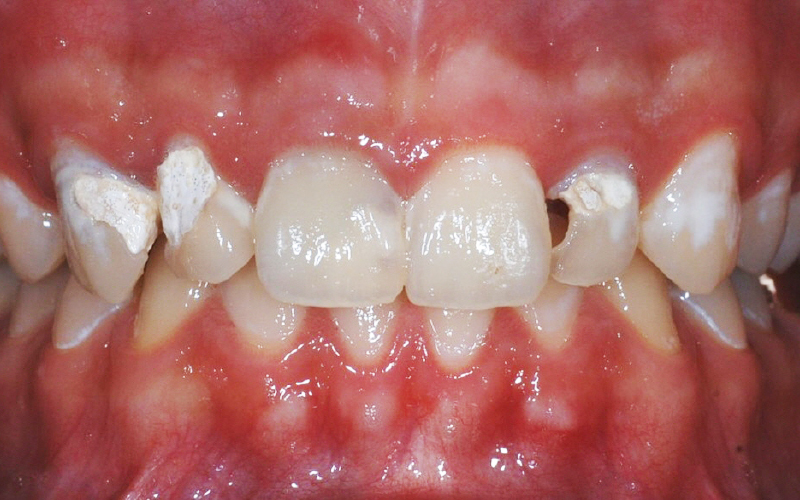
올세라믹 크라운 전후 사례

  • 치료 전

    치료 후

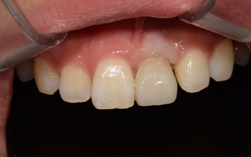
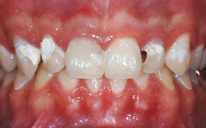
  • 치료전

    치료후

  • 치료 전

    치료 후

  • 치료전

    치료후

  • 치료 전

    치료 후

  • 치료전

    치료후

06

올세라믹 이런분께 추천드립니다!

아래의 사항들에 해당되시는 분들께는 올세라믹 치료방법을 건해 드립니다.
  • 심한 덧니를 교정없이 빨리
    가지런하게 만들고 싶으신 분
  • 심미적 요인으로 앞니를
    빨리 교정하고 싶으신 분
  • 앞니에 사고나 충치로 인하여
    신경치료가 필요하신 분
  • 변색된 인공치아를 자연스러운
    색상으로 바꾸고 싶으신 분
07

시술대상 및 주의사항

문의 및 상담전화

02.352.2828

  • 진료안내

    평일 AM 10:00 - PM 06:30
    화·목 AM 10:00 - PM 09:00 (야간진료)
    토요일 AM 10:00 - PM 02:30
    점심시간 PM 01:00 - PM 02:00
    • 토요일은 점심시간 없이 진료합니다.
    • 일요일 및 공휴일은 휴진입니다.

제휴 및 협력

서울대학교
서울대학교치과병원
은평구
서울특별시
연신내 상점가 상인회
한화손해보험
연서시장 상인회
아이에스티웹
외국인 환자 유치 의료기관
서울관광재단
국민일보 쿠키뉴스
포스코건설
근로복지공단
고용노동부
일산병원
강북삼성병원
이화여자대학교 의료원
가톨릭대학교 은평성모병원
동국대학교 일산병원