자세히보기

TOP
BARUN HOON AESTHETIC

라미네이트

01

치아성형은 내 상태와 목적에 맞추어 "적합한" 시술을 받을 경우 단연코, 우수한 심미치료라고 할 수 있습니다.

서울바른훈치과는 다양한 앞니 심미치료 프로그램을 보유하고 있어 앞니충치, 벌어짐, 파절, 선척적 기형치 등 수많은 케이스에 발 빠른 대처와 적합한 맞춤 시술이 가능합니다.
  • 소요시간

    1시간

  • 마취여부

    무마취 or 부분마취

  • 소요기간

    7-10일

  • 내원횟수

    2회

02

기존 라미네이트와 바른훈치과 라미네이트의 차이점

서울바른훈치과 라미네이트는 치아를 삭제하지 않거나 0.1mm의 얇은 삭제만으로 치아보존과 심미적 고민을 한 번에 해결하실 수 있습니다.
  • VS

  • 일반 라미네이트

    구분

    바른훈치과 라미네이트

  • 마취필요

    마취여부

    마취 불필요
  • 0.5 - 1.0mm 삭제

    치아 삭제량

    무삭제 혹은 0.1mm - 0.3mm의 미세삭제
  • 치아의 순면을 덮는 시술

    치료방법

    손상된 치아 겉면을 재건
03

접착기술의 노하우

얇은 라미네이트의 강도를 결정하는 것은 재료 외 단연 접착기술이라 할 수 있습니다. 틈 없이 완전 밀착하여 부착했을 때 내 자연치와 어우러져 더욱 강한 강도와 내구성을 발휘합니다. 단, 기존 치아와 인공 치의 경계가 티 나지 않게 완전 밀착하여 부착하기 위해서는 수준 높은 기술을 필요로 하는데 서울바른훈치과는 오랜 노하우를 축약한 테크니컬 블랜딩 접착 기술을 통해 기존 치아와 인공치의 경계가 티 나지 않는 완전 접착을 시행합니다.
04

개인의 치아 상태에 따라

TYPE 1 최소한의 다듬는 작업도 없이 자연치 위에 그대로 시술

TYPE 2 약 0.1mm 폴리싱 후 시술

서울바른훈치과 라미네이트는 0.1mm 슬림강화 세라믹 인공 치아를 덧붙여 이상적인 형태의 치아로 복원시켜주는 방법으로 치아를 삭제하지 않기 때문에 마취가 필요 없을 정도로 통증이 없다는 특징이 있습니다.
05

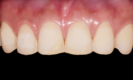
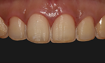
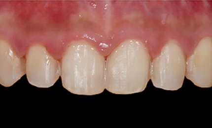
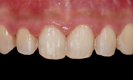
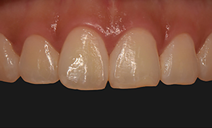
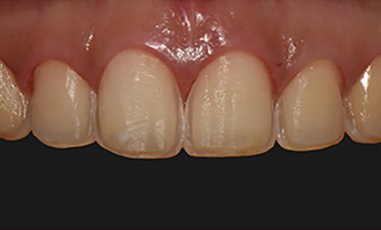
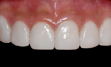
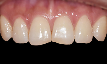
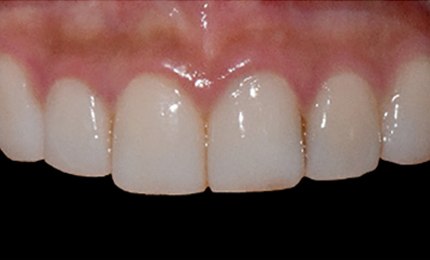
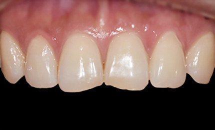
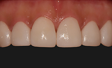
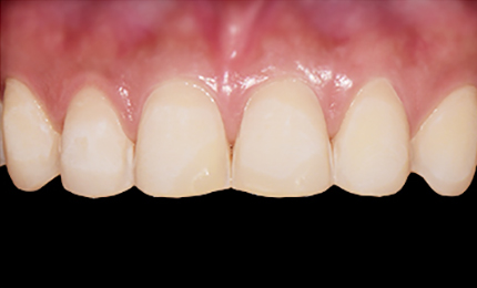
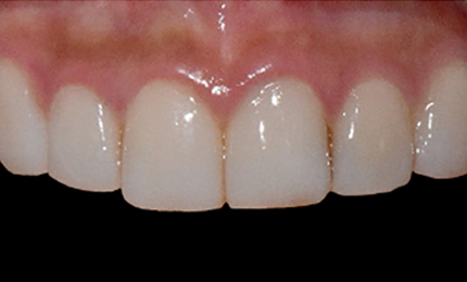
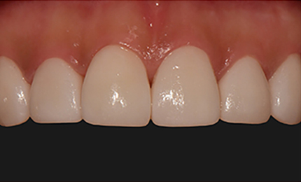
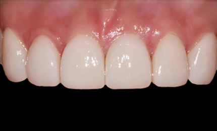
서울바른훈치과 라미네이트 전후 사례

  • 시술전

    무삭제 or 최대 0.1mm 폴리싱

    시술 후

  • 시술전

    최소삭제 0.1mm - 0.2mm, 최대 0.3mm

    시술 후

  • 재 시술전

    기존 보철물 제거 후 폴리싱

    재 시술 후

    타치과 무삭제라미네이트 후 불만족으로 인한 재시술 케이스

06

모든 케이스에 다 어울리는 연예인 스타일

3중절치(큰 앞니), 측절치(작은 앞니) 견치(송곳니)의 길이가 거의 같고 빈 공간 없이 꽉 차 보이는 모양으로 연예인들이 주로 하는 치아 디자인입니다.
  • Point

    • 라운드와 직각의 중간 라인
    • 큼직큼직 시원한 치아라인
    • 중절치, 측절치, 견치의 비율 약 1:1:0.9
  • 추천하는 시술 대상

    • 시원한 미소라인을 원하시는 분
    • 치아의 크기가 조금 더 크길 원하는 분
    • 트랜디한 치아 디자인을 원하는 분
    • 긴 얼굴형
07

아기자기 여성스러운 스타일

중절치(큰 앞니), 측절치(작은 앞니), 견치(송곳니)의 길이는 거의 비슷하며 치아의 끝 라인들이 동글동글하여 전체적으로 부드러운 선과 느낌이 귀엽고 아기자기한 치아 디자인입니다.
  • Point

    • 매끄러운 라운드
    • 극도의 자연스러움
    • 중절치, 측절치, 견치의 비율 약 1:1:0.9
  • 추천하는 시술 대상

    • 길이가 짧은 치아
    • 상대적으로 크기가 작은 치아
    • 선이 굵은 각진 얼굴형, 계란형
    • 각진 직사각형 형태의 치아로 미소가 부자연스러운 분
08

남성적이고 시크한 스타일

중절치(큰 앞니), 견치(송곳니)의 길이가 거의 비슷하고 측절치(작은 앞니)가 1mm정도 짧으며 송곳니가 뾰족해 진취적이고 강인한 느낌을 주는 남성적인 치아 디자인입니다.
  • Point

    • 직선+라운드
    • 좋은 치아사이 각
    • 중절치, 측절치, 견치의 비율 약 1:1:0.9
  • 추천하는 시술 대상

    • 남성의 경우
    • 타원형의 길고 얇은 치아
    • 직선느낌의 치아 모양을 원하시는 분
    • 선이 굵은 얼굴
09

3D 디지털 장비와 보철과 전문의의 노하우

첨단 디지털기기 사용과 보철과 전문의의 노하우를 더하다.

디지털장비 3D 프린터, 3D 구강스캐너, 3D CT, 컴퓨터무통마취기, B&L 근관치료기기, 고압증기 멸균/살균기 등 다양한 디지털 기기의 사용으로 치과치료의 불편함은 줄이고 만족도는 높아집니다. 대한민국 3%미만의 치과보철과 전문의의 노하우로 디테일한 보철을 제작합니다.

문의 및 상담전화

02.352.2828

  • 진료안내

    평일 AM 10:00 - PM 06:30
    화·목 AM 10:00 - PM 09:00 (야간진료)
    토요일 AM 10:00 - PM 02:30
    점심시간 PM 01:00 - PM 02:00
    • 토요일은 점심시간 없이 진료합니다.
    • 일요일 및 공휴일은 휴진입니다.

제휴 및 협력

서울대학교
서울대학교치과병원
은평구
서울특별시
연신내 상점가 상인회
한화손해보험
연서시장 상인회
아이에스티웹
외국인 환자 유치 의료기관
서울관광재단
국민일보 쿠키뉴스
포스코건설
근로복지공단
고용노동부
일산병원
강북삼성병원
이화여자대학교 의료원
가톨릭대학교 은평성모병원
동국대학교 일산병원