자세히보기

TOP
BARUN HOON AESTHETIC

바른훈 심미치료 특별함

바른훈치과만의 심미치료의 특별함

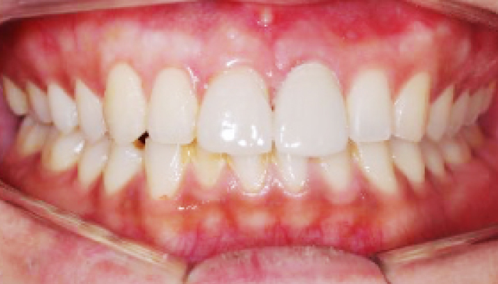
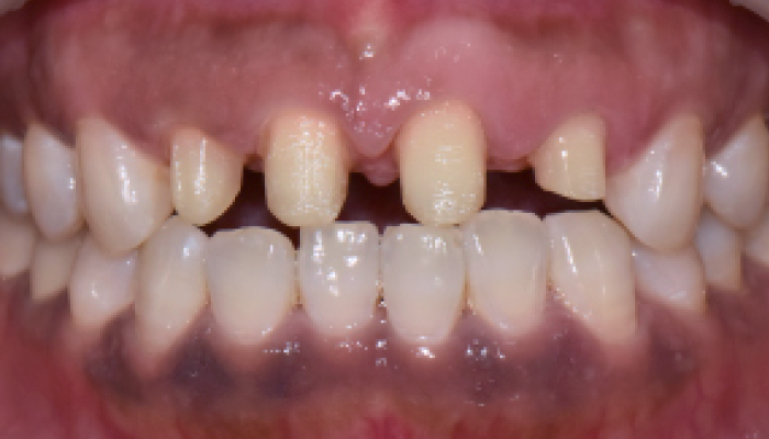
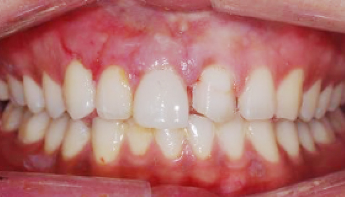
단 몇 시간만에 만들어지는 새로운 치아를 경험하세요.

바른훈치과의 심미치료는 여러가지 장점을 가지고 있습니다. 3D 프린터를 이용하여 단 한번의 방문으로 치료가 가능합니다. 때문에 불편한 임시치아를 사용하실 필요가 없으며, 하루 안에 새로운 치아를 얻어가실 수 있습니다.
구강스캐너를 통해 구강구조를 스캠 및 파악하고 자연치와 유사한 강도와 내구성을 가진 치아를 3D 프린터를 통해서 제작합니다.

WHY? 서울바른훈치과의 심미치료는 특별할까?

01

개인에 맞는 치아 디자인을 연구하니까!

서울바른훈치과는 일괄적인 모양으로 단순히 치아 배열만을 개선하지 않습니다. 환자분에게 어울리는 주변 치아와의 어우러짐. 안모와의 관계, 더나아가 환자분의 이미지를 고려하여 담당 의료진이 가장 이상적인 치아 디자인을 구현하기 위해 심혈을 기울입니다.
02

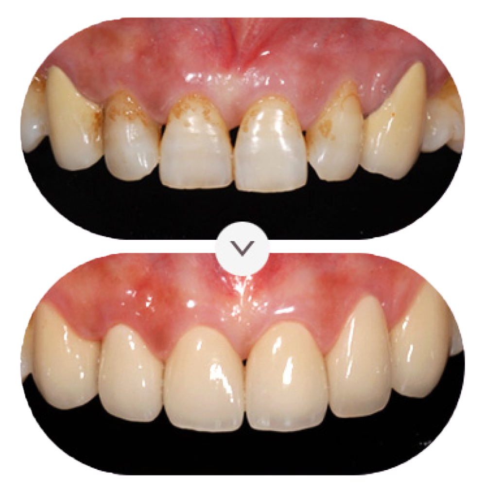
심미치료를 고민하고 있다면? 오랜 시간이 경과해도 만족스러운 서울바른훈치과 심미치료!

  • 재 치료 없는 심미치료 01

    심미치료 전 충치치료, 잇몸치료 선행

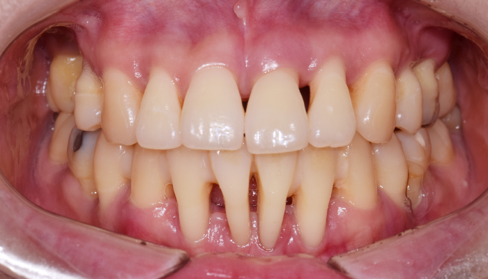
    충치, 잇몸염증이 있음에도 치료를 하지 않고 심미치료만을 진행한 경우, 충치와 염증이 약화되어 다시 재 치료해야 하는 상황이 발생합니다. 심미치료는 치아건강이 우선시 되어야 합니다.
  • 재 치료 없는 심미치료 02

    심미성 높은 재료, 지르코니아 사용

    보철물 내부에 금속이 들어간 경우, 치료 후 시간이 경과하게 되면 잇몸과 치아 경계선이 변색됩니다.때문에 보철물 안 밖으로 심미성이 높은 재료를 엄선하여 사용해야 합니다.
  • 재 치료 없는 심미치료 03

    치아건강을 지키는 심미치료 노하우

    한번 삭제하면 되돌릴 수 없기 때문에 개인별 구강구조를 염두하여 적정량의 치아를 삭제하고 견고하게 보철물을 부착할 수 있는 의료진의 안정적인 시술 노하우가 반드시 필요한 치료입니다.
03

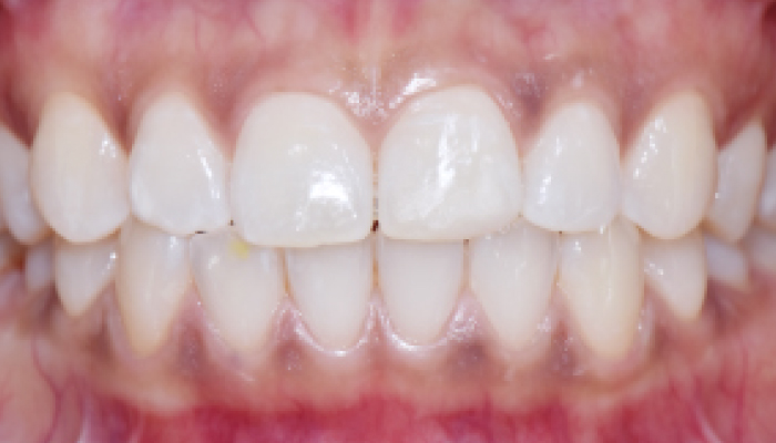
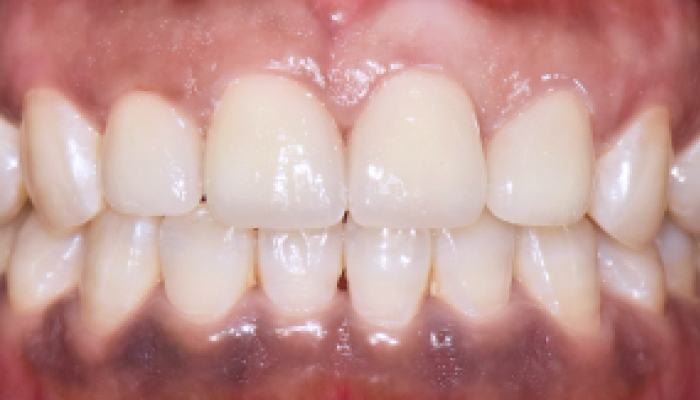
티 나지 않는 치료 결과로 만족도가 높은 병원 이니까!

자연치아와의 구별이 어려운 자연스러운 심미치료결과는 환자분이 직접 써주신 수 많은 치료후기와 지인 추천으로 이어지고 있습니다.

직접 치료 받으신 환자분들이 느끼는 치료후 만족도가 높은 병원입니다.

04

바른훈치과 심미치료

  • 마취방법

    무통증 국소마취

  • 치료시간

    30분 ~ 1시간

  • 치료 후 관리

    일반적인 정기검진

  • 회복시간

    즉시 식사 가능

  • 병원내원

    치료 당일 1회

심미치료 자가진단

  • 라미네이트가 불가능한 환자
  • 치아가 돌출되고 치열이 고르지 않은 환자
  • 앞니가 부러진 환자
  • 교정 치료를 받을 시간이 없는 환자
  • 앞니 충치가 심한 환자
05

심미치료 시술대상 및 주의사항

06

재 치료 없는 심미치료가 가능하니까

구강상태를 고려하지 않은 무분별한 심미치료는 재대로된 심미치료 결과를 놓칠뿐만 아니라 구강 건강마저 악화시키게 됩니다. 본원에서는 당장의 치료로 끝이아닌, 치료 후 오래도록 만족할 수 있는 심미치료를 위해

치료전 꼼꼼한 정밀검사로 잇몸과 치아 건강을 회복하고 심미치료의 치료결과를 높입니다.

문의 및 상담전화

02.352.2828

  • 진료안내

    평일 AM 10:00 - PM 06:30
    화·목 AM 10:00 - PM 09:00 (야간진료)
    토요일 AM 10:00 - PM 02:30
    점심시간 PM 01:00 - PM 02:00
    • 토요일은 점심시간 없이 진료합니다.
    • 일요일 및 공휴일은 휴진입니다.

제휴 및 협력

서울대학교
서울대학교치과병원
은평구
서울특별시
연신내 상점가 상인회
한화손해보험
연서시장 상인회
아이에스티웹
외국인 환자 유치 의료기관
서울관광재단
국민일보 쿠키뉴스
포스코건설
근로복지공단
고용노동부
일산병원
강북삼성병원
이화여자대학교 의료원
가톨릭대학교 은평성모병원
동국대학교 일산병원