자세히보기

TOP
BARUN HOON IMPLANT

틀니 임플란트

바른훈치과만의 틀니 임플란트

아프고 불편한 틀니 이제 빠질 걱정 없이 단단하게 고정 하세요!

임플란트 틀니는 상악, 하악 중 14개의 치아가 모두 상실되어도 2개 혹은 4개의 임플란트를 시술하고 그 위에 틀니를 장착하여 흔들림이 없고 일반 틀니보다 나은 착용감을 느낄 수 있습니다.
심는 임플란트의 개수가 적은 만큼 전체 임플란트에 비해 가격이 저렴하고, 전체 틀니보다는 음식을 씹는 느낌이 좋으며, 잇몸에는 상처도 적게 나는 장점이 있습니다.
01

임플란트 틀니의 장점

치아가 없어도 나의 치아처럼 편안암을 제공하고 적은수의 임플란트만으로도 단단하게 고정시켜 줍니다.
  • 01 확실한 고정력

    턱에 모든 치아가 정상적으로 자리 잡을 공간이 부족해서 발생하는 증상
  • 02 뛰어난 심미성

    자연치와 유사한 보철물을 제작하여 입모양과 이모양이 심미성이 뛰어납니다.
  • 03 우수한 저작력

    자연치아와 거의 유사한 저작력을 가지게 되어 단단하거나 질긴 음식도 잘 씹어 먹을 수 있습니다.
  • 04 이물감 감소

    기존의 틀니와 달리 입천장이 덮이지 않아 이물감이 적고 착용감이 좋습니다.
  • 05 내 치아같은 편안함, 심미성

    적은 수의 임플란트 식립으로 비용부담이 적고 저작력이 좋아 높은 만족감을 가져다 줍니다.
02

임플란트 틀니와 틀니 비교

  • VS

  • 틀니

    구분

    틀니형 임플란트

  • 잇몸 위에 걸칠 수 있도록 틀니 제작

    시술방법

    임플란트 2~4개 식립 후 똑딱이 단추와 같은 장치에 연결
  • 자연치아의 20~30%

    저작력

    자연치아의 80~90%
  • 제대로 고정되지 않아 헐거움

    고정력

    빠지지 않음
  • 이물감 있음, 질기고 단단한 음식 섭취 어려움

    이물감

    이물감 거의 없음
03

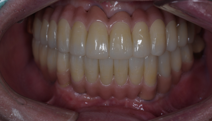
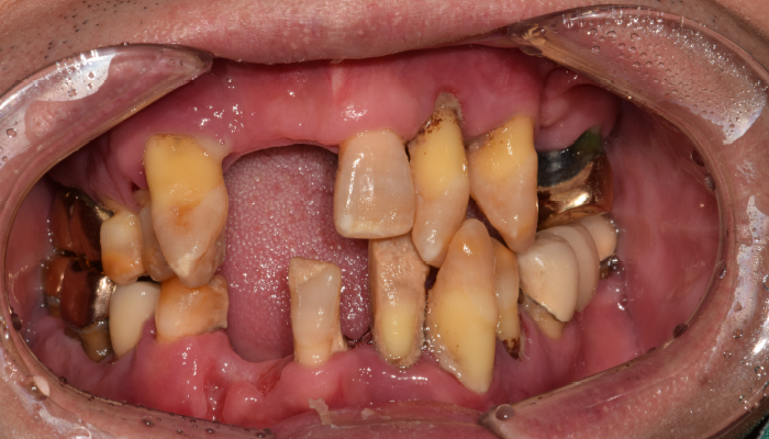
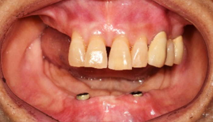
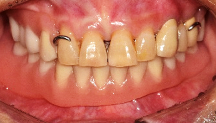
틀니 임플란트 전후 사례

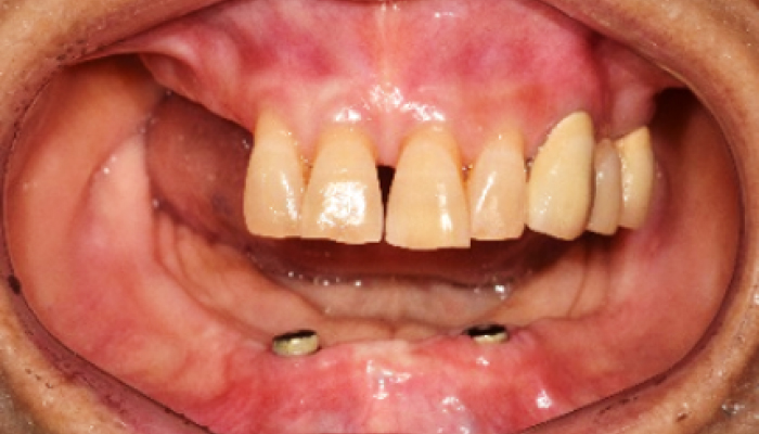
  • 식립 전

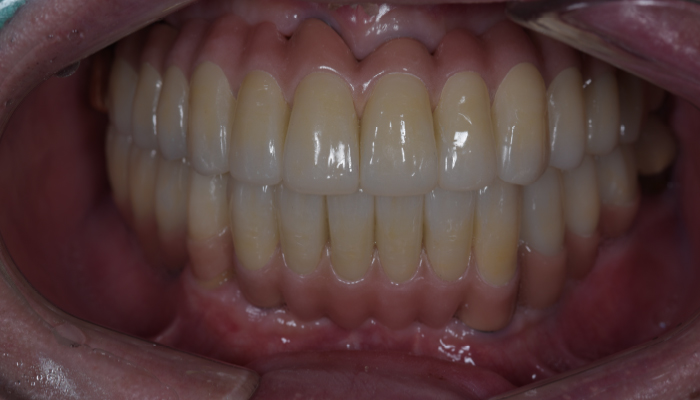
    식립 후

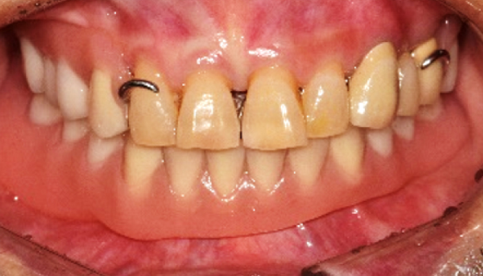
  • 식립전

    식립후

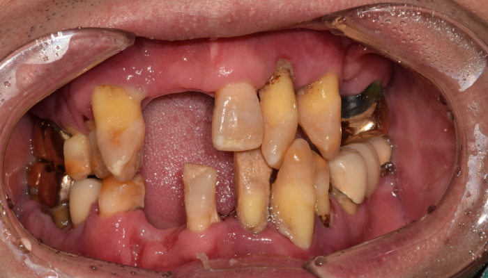
  • 식립전

    식립후

  • 식립전

    식립후

04

틀니 임플란트 이런분께 추천드립니다!

다음과 같은 경우 틀니 임플란트를 통해 자연스러운 치아로 회복하실 수 있습니다.
  • 임플란트 식립이
    불가능한 경우
  • 의치를 사용하고
    싶은 경우
  • 심미성을 최대한으로
    살리고 싶은 경우
  • 틀니의 불편감을
    최소화하고 싶은 경우

문의 및 상담전화

02.352.2828

  • 진료안내

    평일 AM 10:00 - PM 06:30
    화·목 AM 10:00 - PM 09:00 (야간진료)
    토요일 AM 10:00 - PM 02:30
    점심시간 PM 01:00 - PM 02:00
    • 토요일은 점심시간 없이 진료합니다.
    • 일요일 및 공휴일은 휴진입니다.

제휴 및 협력

서울대학교
서울대학교치과병원
은평구
서울특별시
연신내 상점가 상인회
한화손해보험
연서시장 상인회
아이에스티웹
외국인 환자 유치 의료기관
서울관광재단
국민일보 쿠키뉴스
포스코건설
근로복지공단
고용노동부
일산병원
강북삼성병원
이화여자대학교 의료원
가톨릭대학교 은평성모병원
동국대학교 일산병원