자세히보기

TOP
BARUN HOON IMPLANT

상악동거상술

충분한 시술경험과 노하우가 필요한 서울바른훈치과 상악동거상술

임플란트 수술시, 상악동과 잇몸뼈 사이에 뼈가 남아 있지 않았을 때 상악동막을 들어올리고 빈 공간에 뼈를 이식하여 임플란트 식립을 위한 공간을 확보하는 수술을 상악동 거상술이라 합니다.

밀도가 높고 두꺼운 턱뼈가 구성된 아래턱과는 달리 위턱은 얇은 뼈 위에 코와 광대 사이 빈 공간에 식립해야 하는 고난도 수술로 임플란트 수술 경험이 많은 의료진에게 받는 것이 중요합니다.
01

상악동거상술 시술과정

상악동거상술은 고난도 수술로 임플란트 수술 경험이 많은 의료진에게 받는 것이 중요합니다.
  • 01
    임플란트 시술을 위한 정밀진단

    치아를 뺴고 오래 방치하거나 치아를 잡고 있는 치조골이 많이 녹은상태에서 치아를 빼면 위쪽 턱뼈가 부족할 수 있습니다.

  • 02
    뼈이식 / 임플란트 식립공간 확보

    잇몸을 절개하고 난 후 뼈를 넣고 상악동을 들어 올릴만한 작은 통로를 만들어 뼈이식할 공간과 임플란트 식립할 공간을 확보합니다.

  • 03
    잇몸 뼈이식 시술 진행

    들어올린 빈 공간에 뼈를 이식하는데 이때 사용되는 뼈이식 재로로는 자가치아뼈, 자가골, 인공뼈, 합성골 등이 있습니다.

  • 04
    임플란트 매식체 식립

    잔존하고 있는 잇몸뼈의 양에 따라 뼈이식과 동시에 임플란트 식립하기도 하고 6-9개월 후 식립하기도 합니다.

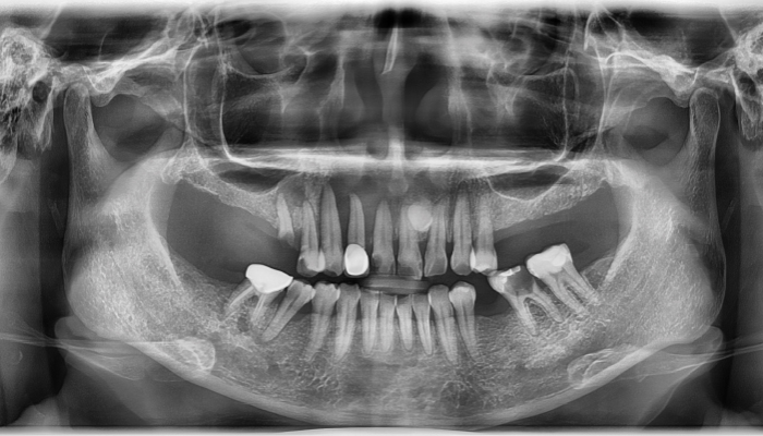
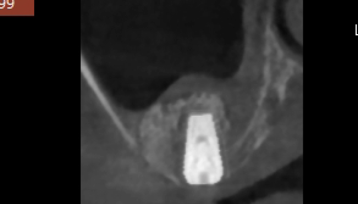
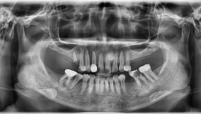
02

상악동거상술 수술사진

03

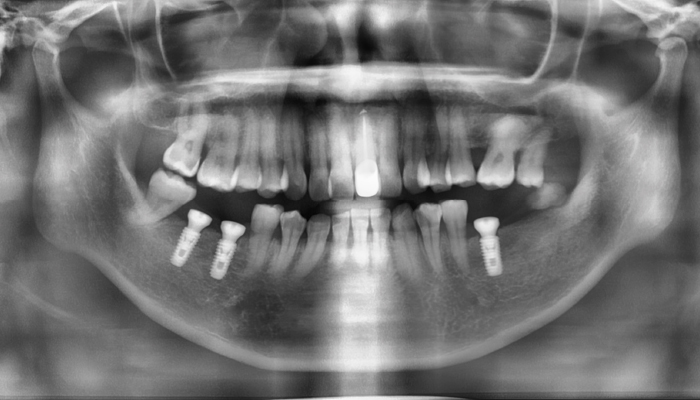
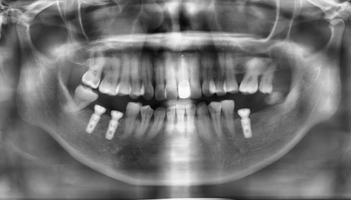
상악동거상술 전후 사례

  • 식립 전

    식립 후

  • 식립전

    식립후

  • 식립전

    식립후

  • 식립전

    식립후

04

상악동거상술에 대한 궁금증

05

상악동거상술 체크포인트

상악동거상술 체크포인트

  • 수술 후 약간의 통증과 출혈이 있을 수 있으며, 2-3일 정도 얼음찜질을 해주시는게 좋습니다.
  • 수술 후 침을 뱉거나 빨대를 사용하거나 심한 잇솔질은 삼가주세요.
  • 상악동 거상술을 진행하신 경우 코를 세게 풀지 마세요.
  • 수술 당일에는 충분한 휴식을 취하시고, 뜨겁지 않은 부드러운 유동식을 드세요.
  • 수술 부위는 손가락 또는 혀로 만지지 않도록 조심하시고, 수술 부위 외에는 평소대로 잇솔질 해주세요.
  • 수술 후 과격한 운동, 사우나, 찜질방, 반식욕등은 일주일 정도 피해주세요.
  • 수술 후 한 달 동안 금주, 금연해주세요.
06

상악동거상술 이런분께 추천드립니다!

다음과 같은 경우 상악동거상술를 통해 자연스러운 치아로 회복하실 수 있습니다.
  • 위 턱 잇몸뼈의 상태가
    안 좋은 경우
  • 위 어금니 잇몸뼈
    높이나 넓이가 부족한 경우
  • 치아가 빠지고 오래 방치해
    잇몸뼈가 녹은 경우
  • 임플란트를 식립해야하는
    위치의 뼈가 물렁물렁한 경우

문의 및 상담전화

02.352.2828

  • 진료안내

    평일 AM 10:00 - PM 06:30
    화·목 AM 10:00 - PM 09:00 (야간진료)
    토요일 AM 10:00 - PM 02:30
    점심시간 PM 01:00 - PM 02:00
    • 토요일은 점심시간 없이 진료합니다.
    • 일요일 및 공휴일은 휴진입니다.

제휴 및 협력

서울대학교
서울대학교치과병원
은평구
서울특별시
연신내 상점가 상인회
한화손해보험
연서시장 상인회
아이에스티웹
외국인 환자 유치 의료기관
서울관광재단
국민일보 쿠키뉴스
포스코건설
근로복지공단
고용노동부
일산병원
강북삼성병원
이화여자대학교 의료원
가톨릭대학교 은평성모병원
동국대학교 일산병원