자세히보기

TOP
BARUN HOON IMPLANT

뼈이식 임플란트

바른훈치과만의 뼈이식 임플란트

잇몸뼈가 없어도, 잇몸이 약해도 OK!
서울바른훈치과 뼈이식 임플란트

치아 상실 후 오랜기간이 지나 잇몸뼈가 많이 흡수된 경우 치조골 이식술을 동반하여 임플란트를 시술하게 됩니다. 치조골을 형성하는 단백질로 이루어진 뼈이식재는 뼈 조직내의 줄기세포를 자극하여 잇몸뼈를 빠르게 회복시키는 것을 도와줍니다.
01

부실한 잇몸을 가졌다면 뼈이식 임플란트를 추천합니다!

바른훈치과의 임플란트의 경우 심리적인 안정감과 자연스러운 잇몸라인 등 심미적인 부분과 정신적인 부분에서 많은 도움을 드리고 있습니다.

식립과 뼈이식을 동시에 !

자가골 채취 없이 임플란트 식립과 뼈이식을 동시에 진행할 수 있기 때문에 빠르고 정확한 수술 결과를 얻을 수 있습니다.

치료기간 단축 !

뼈조직 내에 줄기세포를 자극시켜 자가치유 능력을 높여주기 때문에 치료기간을 단축시킬 수 있습니다.
02

뼈이식 임플란트 시술과정

틀니의 오랜 사용, 만성 치주염, 충치 등으로 치아가 소실되고 오래 방치되어 치조골이 녹아 내린 경우 임플란트 시술이 어렵습니다.
  • 01
    진단 및 준비

    뼈 이식이 필요한 부분의 잇몸을 절개한 후 뼈 이식재가 들어갈 위치를 깨끗하게 정리합니다.

  • 02
    뼈이식 진행

    뼈 이식재를 충분히 넣어 단단하게 메꿔줍니다. (이때 경우에 따라 임플란트 식립이 동시에 진행될 수 있습니다.)

  • 03
    임플란트 식립

    뼈이식 상태 확인 후 임플란트 식립합니다.

  • 04
    보철물 연결

    임플란트 상태 확인 후 상부 구조물 연결하고 본을 떠 보철물을 제작합니다.

03

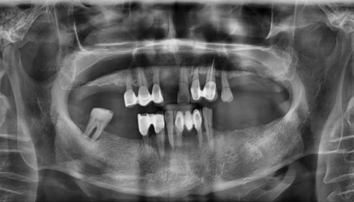
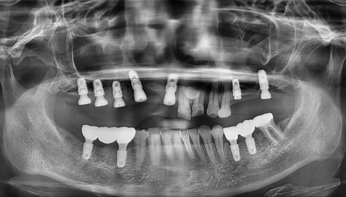
뼈이식 임플란트 전후 사례

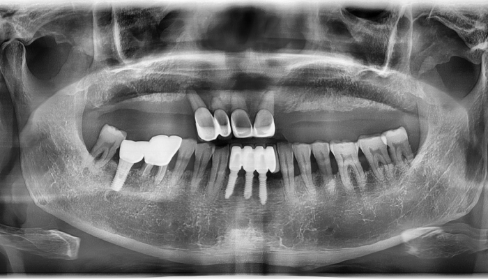
  • 식립 전

    식립 후

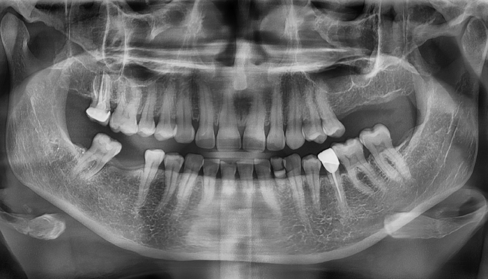
  • 식립전

    식립후

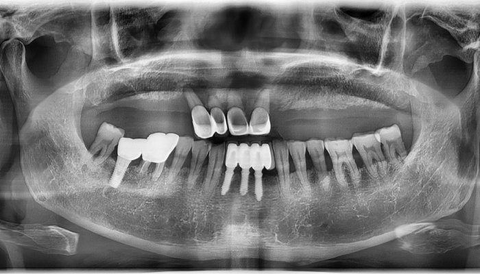
  • 식립전

    식립후

04

뼈이식 임플란트 이런분께 추천드립니다!

다음과 같은 경우 뼈이식 임플란트를 통해 자연스러운 치아로 회복하실 수 있습니다.
  • 치아가 빠진 지
    오래된 경우
  • 노화로 인해 잇몸뼈가
    줄어든 경우
  • 선천적으로 잇몸뼈의
    두께가 얇은 경우
  • 잇몸 상태가
    좋지 않은 경우

문의 및 상담전화

02.352.2828

  • 진료안내

    평일 AM 10:00 - PM 06:30
    화·목 AM 10:00 - PM 09:00 (야간진료)
    토요일 AM 10:00 - PM 02:30
    점심시간 PM 01:00 - PM 02:00
    • 토요일은 점심시간 없이 진료합니다.
    • 일요일 및 공휴일은 휴진입니다.

제휴 및 협력

서울대학교
서울대학교치과병원
은평구
서울특별시
연신내 상점가 상인회
한화손해보험
연서시장 상인회
아이에스티웹
외국인 환자 유치 의료기관
서울관광재단
국민일보 쿠키뉴스
포스코건설
근로복지공단
고용노동부
일산병원
강북삼성병원
이화여자대학교 의료원
가톨릭대학교 은평성모병원
동국대학교 일산병원