자세히보기

TOP
BARUN HOON IMPLANT

즉시 식립 임플란트

바른훈치과만의 즉시 식립 임플란트

즉시 식립으로 전국에서 찾는 임플란트입니다.

최소 내원으로 완성되는 임플란트! 그 중심에는 서울바른훈치과가 있습니다. 서울바른훈치과는 다년간의 임상경험이 풍부한 의료진이 직접시술은 물론 자체 디지털 기공실 협진 시스템을 갖추고 있습니다. 당 일에 임플란트 식립이 가능하며 임시보철물 제작까지 당일치료가 가능합니다.
01

전국 어디서나 임플란트 즉시 식립을 지향

치아 0.01mm의 기적! 최소 내원으로 완성되는 임플란트 그 중심에는 서울바른훈치과가 있습니다.
02

무치악 임플란트도 즉시 식립 임플란트로!

치아가 모두 상실된 경우 그냥 방치하게 된다면 잇몸뼈(치조골)가 계속 소실됩니다. 서울바른훈치과의 무치악임플란트는 다년간의 임상경험이 풍부한 서울대출신의 의료진이 직접 시술은 물론 자체 디지털 기공실 협진 시스템을 갖추고 있습니다.
  • 01

    진단 / 3차원 CT / T-Scan교합 분석

  • 02

    재료 선정 개개인에 맞는 픽스쳐 (임플란트 기둥)선정

  • 03

    임플란트 픽스쳐 식립 (개당 10분 소요)

  • 04

    구강스캔 Serec Omnicam , One Scan

  • 05

    잇몸 뼈 이식 / 보철물 제작

  • 06

    보철물 결합

  • 07

    교합분석 및 임플란트 진단

  • 08

    임플란트 완성!

Oneday Implant

즉시 식립 임플란트

치아 0.01mm의 기적! 최소 내원으로 완성되는 임플란트! 그 중심에는 서울바른훈치과가 있습니다.

Non - Stop Care Program!

진단부터 식립까지!

03

진단부터 차별화된 즉시 식립임플란트로!

서울바른훈치과는 임플란트 전문의 서울대 출신 이상훈 대표원장님이 직접 상담합니다. 3차원 CT분석으로 임플란트 식립 부위의 각도를 파악, 정확한 뼈의 상태를 진단합니다. T-Scan(교합분석장비)를 통해 치아와 치아 사이의 0.01mm의 미세한 오차를 분석합니다.
04

서울대 출신 전문의 이상훈 대표원장의 수술 노하우

- 서울대학교 치과병원 치과보철과 임플란트센터 담당의
- Implant Sinus Surgery Course
- Advanced Live Implant Surgery Course
- Prosthodontics&Implantolgy Course
- 대한구강악안면임플란트학회 정회원
05

초기고정력 향상을 위한 맞춤 픽스쳐 디자인

오직 이상훈 대표원장님의 노하우로 환자 본인에게 가장 적합한 개인 맞춤 임플란트 재료를 선정하여 수많은 임플란트 종류 중 가장 적합한 임플란트 선정으로 초기 고정력이 미세한 오차를 분석합니다.
06

차별화된 장비로 최적의 효과를 약속하는 시스템

- 임플란트 수술시 통증과 부작용의 최소화로 빠른 회복이 가능한 물방울 레이저 장비사용
- 결합력 측정 ISQ장비 사용
- 마취에 대한 공포 해소, 통증이 없는 마취기 사용
- 환자본인의 선택에 따라 얕은 진정법으로 안전한 수면마취 사용
07

즉시 식립임플란트가 최소 내원으로 가능한 이유

  • Cerec Omnicam

    환자 카운셀링 모드로 연속적인 3D 영상 지원으로 환자의 상태를 생생하게 보여주고 환자의 구강 데이터 전송 후 자동으로 임플란트 보철물을 15분 이내에 만들어 주기 때문에 빠른 치료가 가능한 인체공학적인 치과용 영상저장 전송장치 입니다. 기존 임플란트 제작 시 필요했던 본뜨기 작업이 불필요 해지므로 보다 더 빠르고 정확한 보철물 제작이 가능합니다.

  • One Scan

    구강 내 직접 스캔으로 더욱 정확한 치아의 배열과 교합 상태를 확인하고 원캐드 소프트웨어로 정보를 입력하는 구강스캐너입니다. 타 치과에 흔치 않은 자체기공소 보유로 보통 본을 뜨고 보철물 제작에 소요되는 하루 이상의 시간을 획기적으로 축소, 보철물 제작 시간이 15분 밖에 걸리지 않으며 임시치아가 필요하지 않기 때문에 최소 내원이 가능하여당일에 임플란트 치료가 가능합니다.

08

위생관리와 임플란트 사후를 고려한 Safety-Program

위생관리 시스템과 물방울레이저를 통한 감염 최소화로 임플란트 실패를 미연에 방지 T-Scan, Osstell-ISQ 장비를 통해 임플란트의 정밀한 교합 분석으로 부작용 최소화
09

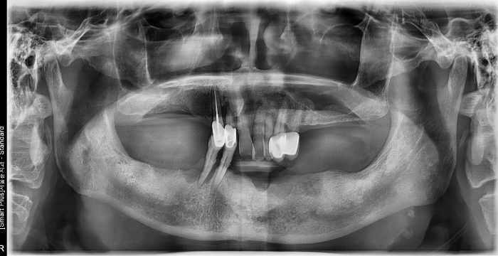
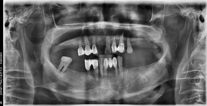
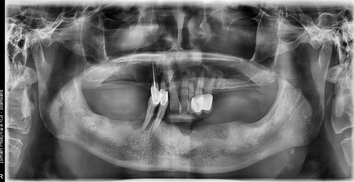
즉시 식립 임플란트 전후 사례

  • 식립 전

    식립 후

  • 식립 전

    식립 전

    식립 후

  • 3D 프린터 장비 (ONEJET)

    3D 프린터 장비 (ONEJET)

  • 식립 전

    식립 후

  • 식립 전

    식립 후

  • 식립 전

    식립 후

10

WHY? 서울바른훈치과인가?

왜 서울바른훈치과의 즉시 식립 임플란트 인가요?
  • POINT

    01

    T-Scan, CT-Scan에 의한 최적의 교합력

    치아와 임플란트의 수명을 결정짓는 것은 치아의 교합력 / 0.01mm의 오차도 허용하지 않는 세밀한 진단기능

  • POINT

    02

    서울대 출신 의료진의 1:1 주치의 시스템

    보건복지부 인증 전문의로만 구성된 의료진 / 풍부한 임상경험이 말해주는 임플란트 수술의 차별화 / 끊임없는 연구와 학술 개발

  • POINT

    03

    임플란트 수술이 최소 내원으로 가능

    정밀한 진단으로 식립 시간이 단 10분 / 최소 내원 케어 시스템으로 전국에서 찾는 치과

  • POINT

    04

    초음파 측정기를 이용한 맞춤형 임플란트

    정밀한 진단으로 식립 시간이 단 10분 / 최소 내원 케어 시스템으로 전국에서 찾는 치과

  • POINT

    05

    수면마취로 수술에 대한 두려움 감소

    편안한 마음, 두려움과 긴장없는 치과치료

  • POINT

    06

    자가혈액으로 골성장을 촉진시켜 빠른 회복

    자신의 혈액을 사용하므로 부작용 걱정 제로

문의 및 상담전화

02.352.2828

  • 진료안내

    평일 AM 10:00 - PM 06:30
    화·목 AM 10:00 - PM 09:00 (야간진료)
    토요일 AM 10:00 - PM 02:30
    점심시간 PM 01:00 - PM 02:00
    • 토요일은 점심시간 없이 진료합니다.
    • 일요일 및 공휴일은 휴진입니다.

제휴 및 협력

서울대학교
서울대학교치과병원
은평구
서울특별시
연신내 상점가 상인회
한화손해보험
연서시장 상인회
아이에스티웹
외국인 환자 유치 의료기관
서울관광재단
국민일보 쿠키뉴스
포스코건설
근로복지공단
고용노동부
일산병원
강북삼성병원
이화여자대학교 의료원
가톨릭대학교 은평성모병원
동국대학교 일산병원