자세히보기

TOP
BARUN HOON IMPLANT

UV 임플란트

바른훈치과만의 UV 임플란트

원래 나의 치아같은 편안함과 높은 안정성을 지닌 임플란트

UV임플란트는 UV 광촉매 기술을 적용해 강력한 골유착 성능과 높은 안전성의 임플란트로 식립 전 임플란트에 UV 자외선을 쬐어 유기물을 제거하고 표면을 초친수성 상태로 변화시켜 임플란트와 뼈가 안정적으로 유착될 수 있도록 도와준 임플란트입니다.
01

UV 임플란트 장점

UV 임플란트 치료 후 장점들을 확인해보세요.

치료기간 단축

UV를 쬐어준 임플란트 표면은 초친수성 상태로 변화되어 골유착력이 뛰어나 치료기간 단축이 가능합니다.

모든 환자 식립가능

당뇨, 고혈압, 노약자 등 전신질환을 앓고 있는 환자도 임플란트 식립이 가능합니다.

짧은 회복기간

일반 임플란트의 회복기간에 비하여 UV임플란트는 3~4주로 회복기간이 짧습니다.

높은 성공률

일반 임플란트 대비 뛰어난 골유착으로 초기 고정력이 높아 90%이상의 임플란트 성공률을 보입니다.
02

UV 임플란트 시술과정

개인의 상태에 따라서 UV임플란트 치료방법이 적합하지 않을 수 있으니 치료전 확인하세요!
  • 01
    UV 쬐기

    임플란트 식립전 임플란트 표면에 UV를 쬐어줍니다.

  • 02
    초친수성 상태변화

    UV로 인한 광초매 효과로 임플란트 표면을 초친수성 상태로 변화시킵니다.

  • 03
    골유착 유도

    초친수성 상태의 임플란트는 세포와 단백질 반응을 통해 골유착을 유도합니다.

03

UV 임플란트와 일반 임플란트 비교

  • VS

  • 일반 임플란트

    구분

    UV 임플란트

  • 50 ~ 65%

    골유착률

    90% 이상
  • 잇몸뼈가 약한 경우 뼈이식 필요

    고정력

    잇몸뼈가 약한 경우에도 식립 가능
  • 회복기간 약 8~12주

    회복기간

    회복기간 약 3~4주
04

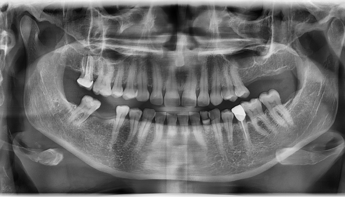
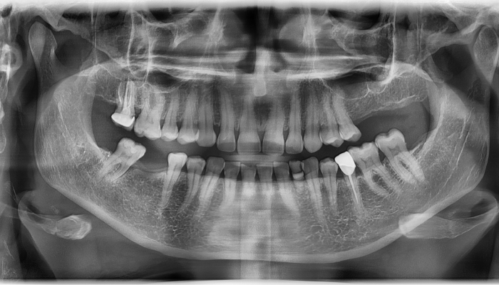
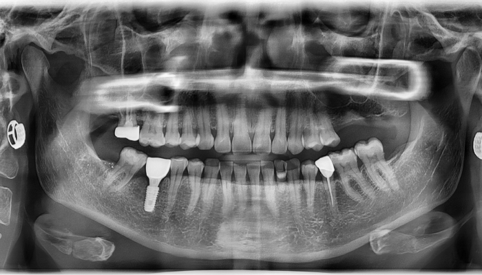
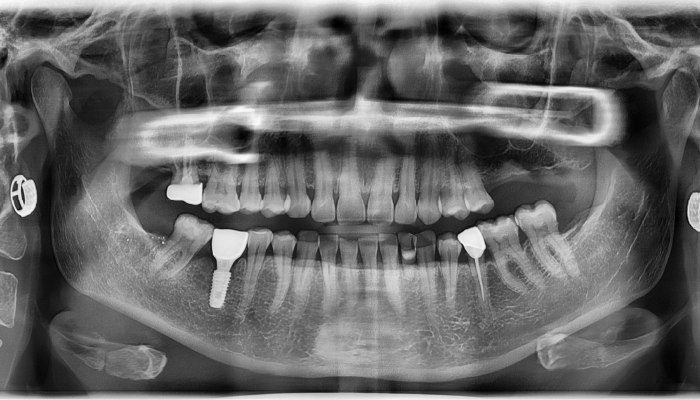
UV 임플란트 전후 사례

  • 식립 전

    식립 후

05

UV 임플란트 체크포인트

UV 임플란트 체크포인트

  • 치료 후 잇몸뼈가 회복되는 1년 동안은 너무 질기거나 딱딱한 음식은 삼가해주세요.
  • 보철물이 흔들리거나 탈락되는 경우에는 빠른 시일 내에 내원해주세요.
  • 치료 후 관리가 잘 되지 않을 경우 추가적인 치료와 수술이 필요할 수 있습니다.
  • 잇몸뼈와 임플란트간의 유착기간이 필요하므로 치료기간이 연장될 수 있습니다.
  • 개인의 상태에 따라 뼈이식이 필요할 수도 있습니다.
06

UV 임플란트 이런분께 추천드립니다!

다음과 같은 경우 UV 임플란트를 통해 자연스러운 치아로 회복하실 수 있습니다.
  • 잇몸뼈가 약하거나
    뼈이식이 필요한 경우
  • 전신질환을
    가지고 있는 경우
  • 즉시 보철물 체결을
    원하는 경우
  • 직장인 등 잦은 내원이
    어려운 경우

문의 및 상담전화

02.352.2828

  • 진료안내

    평일 AM 10:00 - PM 06:30
    화·목 AM 10:00 - PM 09:00 (야간진료)
    토요일 AM 10:00 - PM 02:30
    점심시간 PM 01:00 - PM 02:00
    • 토요일은 점심시간 없이 진료합니다.
    • 일요일 및 공휴일은 휴진입니다.

제휴 및 협력

서울대학교
서울대학교치과병원
은평구
서울특별시
연신내 상점가 상인회
한화손해보험
연서시장 상인회
아이에스티웹
외국인 환자 유치 의료기관
서울관광재단
국민일보 쿠키뉴스
포스코건설
근로복지공단
고용노동부
일산병원
강북삼성병원
이화여자대학교 의료원
가톨릭대학교 은평성모병원
동국대학교 일산병원