자세히보기

TOP
BARUN HOON IMPLANT

수면 임플란트

바른훈치과만의 수면 임플란트

의식하진정요법이란 잠은 자고 있지만 외부에 반응을 하면서 자발적 호흡을 하는 상태로 환자의 의식 진정상태를 유도하여 반쯤 잠이 든 상태에서 치료하는 방법입니다.

서울바른훈치과에서 시행하는 수면마취의 정확한 표현은 '의식하진정요법' 입니다. 환자가 가수면 상태에서 편안하게 진료받을 수 있는 방법입니다. 시술에 대한 두려움을 없애주고, 시술 받는 동안 고통이나 불쾌감을 기억하지 않게 해주기 때문에 치과치료에 대한 공포와 두려움을 극복할 수 있습니다.
01

수면임플란트 시술과정

수면임플란트는 환자가 가수면 상태에서 편안하게 진료받을 수 있는 방법입니다.
  • 01
    3D-CT를 이용한 정밀진단

    3D-CT를 이용해 3차원으로 진단하여 주변치아와의 거리, 골조직, 각도, 신경위치 등을 정확하게 파악합니다.

  • 02
    의식진정상태 가수면 유도

    미다졸람 앰플과 식염수를 희석하여 장착한 자동주입기를 투여해 의식하진정상태(가수면)로 유도합니다.

  • 03
    임플란트 시술 진행

    가수면 상태와 혈압, 심박동수 등의 상태를 실시간으로 체크하며 안전하게 임플란트 시술이 진행됩니다.

  • 04
    충분한 회복 후 귀가

    수면임플란트 후 졸린 기운이 남아있을 수 있으므로 회복실에서 충분한 휴식을 취한 후 귀가하시면 됩니다.

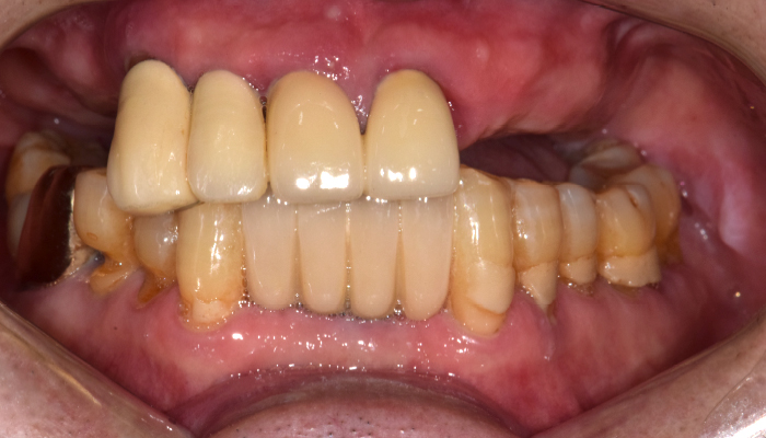
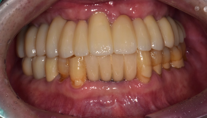
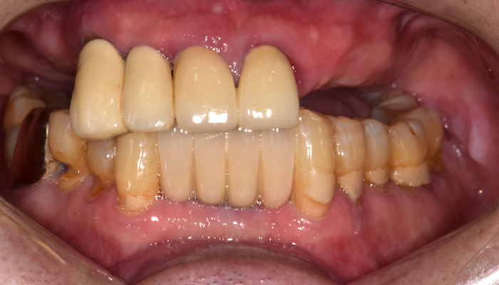
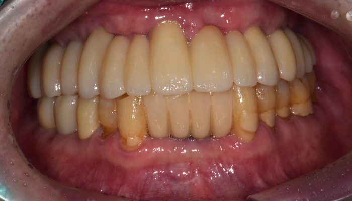
02

수면임플란트 전후 사례

  • 식립 전

    식립 후

03

수면임플란트에 대한 궁금증

시술에 대한 두려움을 없애주고, 시술 받는 동안 고통이나 불쾌감을 기억하지 않게 해주기 때문에 치과치료에 대한 공포와 두려움을 극복 할 수 있습니다.
04

수면임플란트 체크포인트

수면임플란트 치료 후 구토, 어지러움 등의 부작용이 나타날 수 있으며 숙련된 의료진에게 시술 받는 것이 중요합니다.

수면임플란트 체크포인트

  • 치료 4시간 전부터 금식하세요.
  • 복용 중인 약이나, 앓고 있는 질환이 있다면 미리 주치의와 상의해주세요.
  • 복장은 편안한 옷으로 입어주시고 매니큐어 사용은 피해주세요.
  • 치료 당일에는 자동차 운전은 하지 마시고 반드시 보호자를 동반해주세요.
  • 치료 후 일시적으로 어지럽거나 구토 증상이 있을 수 있어요.
  • 충분한 휴식을 취해주시고, 가벼운 유동식을 드세요.
05

수면임플란트 이런분께 추천드립니다!

다음과 같은 경우 수면임플란트를 통해 자연스러운 치아로 회복하실 수 있습니다.
  • 여러 개의 임플란트를
    동시에 심어야 할 경우
  • 치과치료에 대한
    부담이 되는 경우
  • 뼈이식이나 재수술 등
    고난도 수술을 받는 분
  • 국소마취가 잘 안되어
    치료가 힘드신 분
06

수면임플란트
서울바른훈치과를 선택하는 이유

  • 01

    서울대 출신
    보건복지부인증 전문의
    의료진 1:1 책임진료
  • 02

    안전한
    수면치료를 위한
    안전 수면프로그램 구축
  • 03

    임상으로 검증되어
    믿을 수 있는
    정품 임플란트 재료 사용
  • 04

    수술 후 까지 생각하는
    임플란트 보증서를 통한
    철저한 사후관리
07

수면임플란트 주의사항

  • 01 / 치료 4시간 전부터 금식하세요.
  • 02 / 복용 중인 약이나, 앓고 있는 질환이 있다면 미리 주치의와 상의해주세요.
  • 03 / 복장은 편안한 옷으로 입어주시고 매니큐어 사용은 피해주세요.
  • 04 / 치료 당일에는 자동차 운전은 하지 마시고 반드시 보호자를 동반해주세요.
  • 05 / 치료 후 일시적으로 어지럽거나 구토증상이 있을 수 있어요.
  • 06 / 충분한 휴식을 취해주시고, 가벼운 유동식을 드세요.

수면임플란트 치료 후 구토, 어지러움 등의 부작용이 나타날 수 있으며 숙련된 의료진에게 시술받는 것이 중요합니다.

문의 및 상담전화

02.352.2828

  • 진료안내

    평일 AM 10:00 - PM 06:30
    화·목 AM 10:00 - PM 09:00 (야간진료)
    토요일 AM 10:00 - PM 02:30
    점심시간 PM 01:00 - PM 02:00
    • 토요일은 점심시간 없이 진료합니다.
    • 일요일 및 공휴일은 휴진입니다.

제휴 및 협력

서울대학교
서울대학교치과병원
은평구
서울특별시
연신내 상점가 상인회
한화손해보험
연서시장 상인회
아이에스티웹
외국인 환자 유치 의료기관
서울관광재단
국민일보 쿠키뉴스
포스코건설
근로복지공단
고용노동부
일산병원
강북삼성병원
이화여자대학교 의료원
가톨릭대학교 은평성모병원
동국대학교 일산병원